JavaScript is disabled in your browser. Please enable JavaScript to view this website.

Anti-OPCML antibody [EPR22947-46] - BSA and Azide free(ab264474)

$undefined

Anti-OPCML antibody [EPR22947-46] - BSA and Azide free(ab264474)

Anti-OPCML antibody [EPR22947-46] - BSA and Azide free(ab264474)

Anti-OPCML antibody [EPR22947-46] - BSA and Azide free(ab264474)

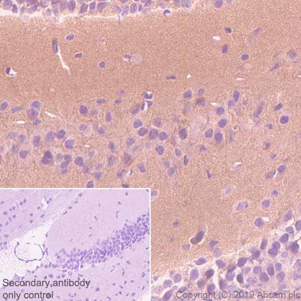
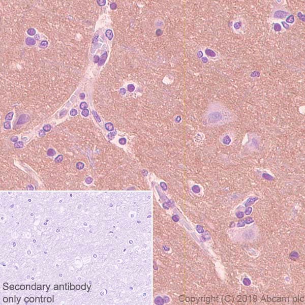
Rabbit Recombinant Monoclonal OPCML antibody. Carrier free. Suitable for WB, IHC-P and reacts with Mouse, Rat, Human samples.
Specifications
Shipped At Conditions Blue Ice
Appropriate Long term Storage Conditions Store at +4°C.
Clonality Monoclonal
Applications Flow Cyt, ICC/IF, IHC-P, IP, WB
Species Reactivity Human, Mouse, Rat
Isotype IgG