JavaScript is disabled in your browser. Please enable JavaScript to view this website.

Anti-CD134 / OX40L receptor antibody [EPR23001-88] - BSA and Azide free(ab264469)

$undefined

Anti-CD134 / OX40L receptor antibody [EPR23001-88] - BSA and Azide free(ab264469)

Anti-CD134 / OX40L receptor antibody [EPR23001-88] - BSA and Azide free(ab264469)

Anti-CD134 / OX40L receptor antibody [EPR23001-88] - BSA and Azide free(ab264469)

Anti-CD134 / OX40L receptor antibody [EPR23001-88] - BSA and Azide free(ab264469)

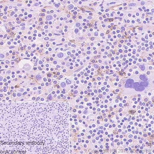
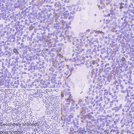
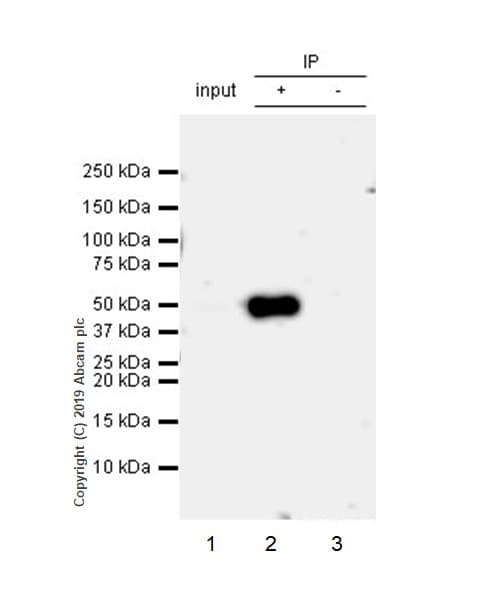
Rabbit Recombinant Monoclonal CD134 / OX40L receptor antibody. Carrier free. Suitable for IP, Flow Cyt, WB, IHC-P and reacts with Human samples.
Specifications
Shipped At Conditions Blue Ice
Appropriate Long term Storage Conditions Store at +4°C.
Clonality Monoclonal
Applications Flow Cyt, ICC/IF, IHC-P, IP, WB
Species Reactivity Human
Isotype IgG