JavaScript is disabled in your browser. Please enable JavaScript to view this website.

Anti-eIF2A antibody(AB264253)

$undefined

Anti-eIF2A antibody(AB264253)

Anti-eIF2A antibody(AB264253)

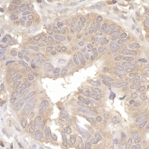
Rabbit Polyclonal EIF2A antibody. Suitable for IP, IHC-P and reacts with Human samples. Immunogen corresponding to Synthetic Peptide within Human Eukaryotic translation initiation factor 2A aa 450-500.
Specifications
Shipped At Conditions Blue Ice
Appropriate Long term Storage Conditions Store at -20°C.
Clonality Polyclonal
Applications Human
Species Reactivity IHC-P, IP
Isotype IgG
Conjugation -
CAS Number -