JavaScript is disabled in your browser. Please enable JavaScript to view this website.

Anti-beta III Tubulin antibody [5G8] - BSA and Azide free(AB264113)

$undefined

Anti-beta III Tubulin antibody [5G8] - BSA and Azide free(AB264113)

Anti-beta III Tubulin antibody [5G8] - BSA and Azide free(AB264113)

Anti-beta III Tubulin antibody [5G8] - BSA and Azide free(AB264113)

Anti-beta III Tubulin antibody [5G8] - BSA and Azide free(AB264113)

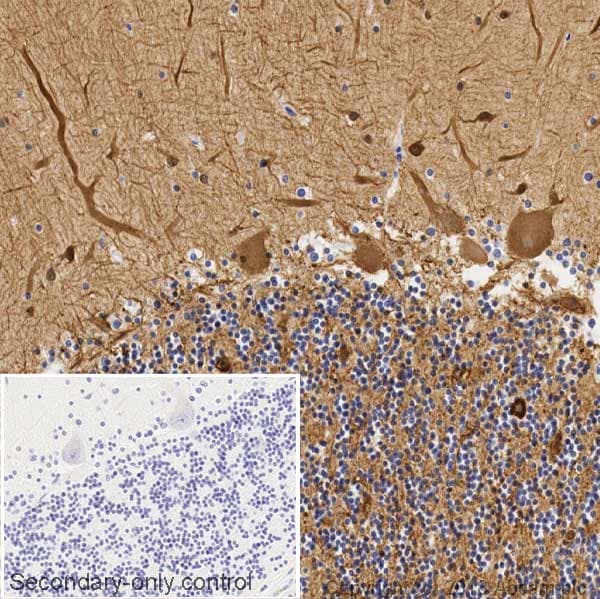
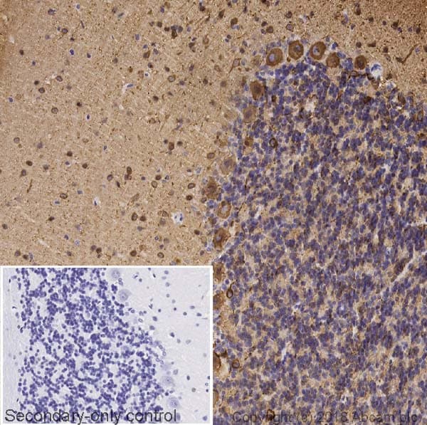
Mouse Monoclonal Beta-3-tubulin antibody. Carrier free. Suitable for IHC-P, WB, ICC/IF and reacts with Rat, Human, Mouse samples. Cited in 1 publication.
Specifications
Shipped At Conditions Blue Ice
Appropriate Long term Storage Conditions Store at +4°C.
Clonality Monoclonal
Applications Human, Mouse, Rat
Species Reactivity ICC/IF, IHC-P, WB
Isotype IgG1
Conjugation -
CAS Number -