JavaScript is disabled in your browser. Please enable JavaScript to view this website.

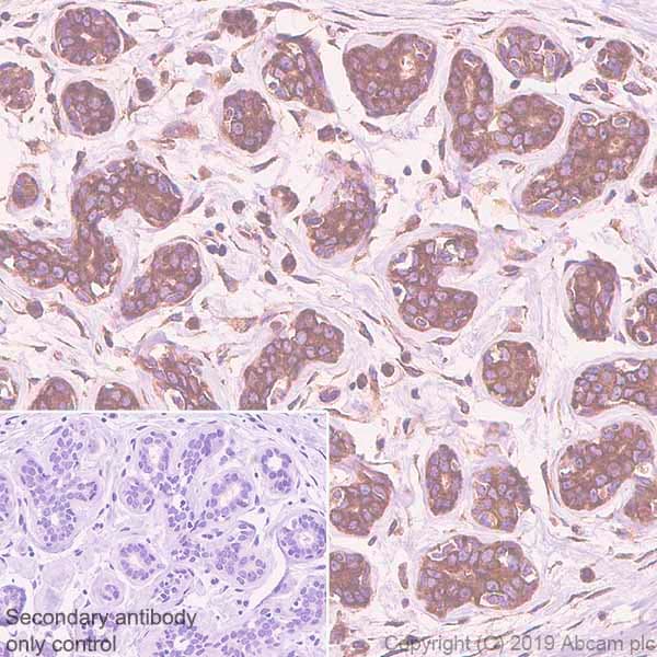
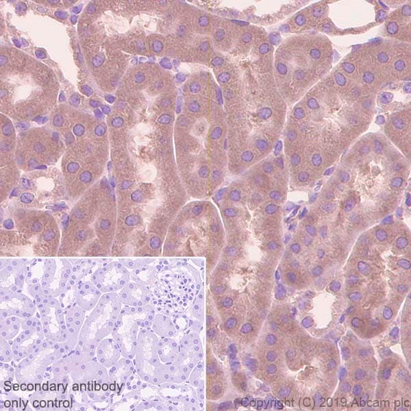
Anti-EIF2S1 antibody [EPR23098-50] - BSA and Azide free(AB263951)

$undefined

Anti-EIF2S1 antibody [EPR23098-50] - BSA and Azide free(AB263951)

Anti-EIF2S1 antibody [EPR23098-50] - BSA and Azide free(AB263951)

Anti-EIF2S1 antibody [EPR23098-50] - BSA and Azide free(AB263951)

Anti-EIF2S1 antibody [EPR23098-50] - BSA and Azide free(AB263951)

Rabbit Recombinant Monoclonal EIF2S1 antibody. Carrier free. Suitable for IHC-P, IP, WB and reacts with Mouse, Human, Rat samples.
Specifications
Shipped At Conditions Blue Ice
Appropriate Long term Storage Conditions Store at +4°C.
Clonality Monoclonal
Applications Flow Cyt, ICC/IF, IHC-P, IP, WB
Species Reactivity Human, Mouse, Rat
Isotype IgG