JavaScript is disabled in your browser. Please enable JavaScript to view this website.

Anti-Histone H3 (tri methyl K79) antibody - ChIP Grade(ab2621)

$undefined

Anti-Histone H3 (tri methyl K79) antibody - ChIP Grade(ab2621)

Anti-Histone H3 (tri methyl K79) antibody - ChIP Grade(ab2621)

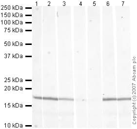
Rabbit Polyclonal H3 tri methyl K79 antibody. Suitable for ChIP, WB and reacts with Human, Cow samples. Cited in 149 publications.
Specifications
Shipped At Conditions Blue Ice
Appropriate Long term Storage Conditions Store at -20°C.
Clonality Polyclonal
Applications ChIP, WB
Species Reactivity Cow, Human
Isotype IgG