JavaScript is disabled in your browser. Please enable JavaScript to view this website.

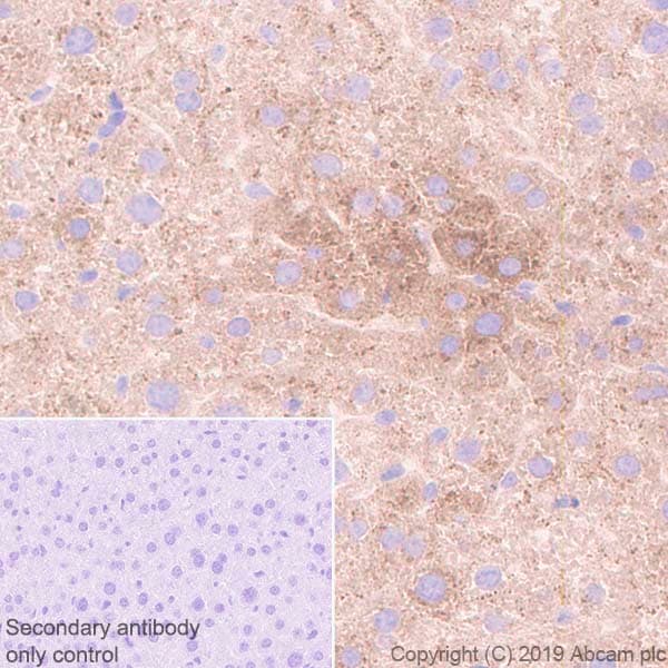
Anti-Haptoglobin antibody [EPR22856-233] - BSA and Azide free(ab261725)

$undefined

Anti-Haptoglobin antibody [EPR22856-233] - BSA and Azide free(ab261725)

Anti-Haptoglobin antibody [EPR22856-233] - BSA and Azide free(ab261725)

Anti-Haptoglobin antibody [EPR22856-233] - BSA and Azide free(ab261725)

Anti-Haptoglobin antibody [EPR22856-233] - BSA and Azide free(ab261725)

Rabbit Recombinant Monoclonal Haptoglobin antibody. Carrier free. Suitable for WB, IHC-P, IHC-Fr and reacts with Mouse samples.
Specifications
Shipped At Conditions Blue Ice
Appropriate Long term Storage Conditions Store at +4°C.
Clonality Monoclonal
Applications Flow Cyt, ICC/IF, IHC-Fr, IHC-P, IP, WB
Species Reactivity Mouse
Isotype IgG