JavaScript is disabled in your browser. Please enable JavaScript to view this website.

Anti-GST3 / GST pi antibody(AB259373)

$undefined

Anti-GST3 / GST pi antibody(AB259373)

Anti-GST3 / GST pi antibody(AB259373)

Anti-GST3 / GST pi antibody(AB259373)

Anti-GST3 / GST pi antibody(AB259373)

Anti-GST3 / GST pi antibody(AB259373)

Anti-GST3 / GST pi antibody(AB259373)

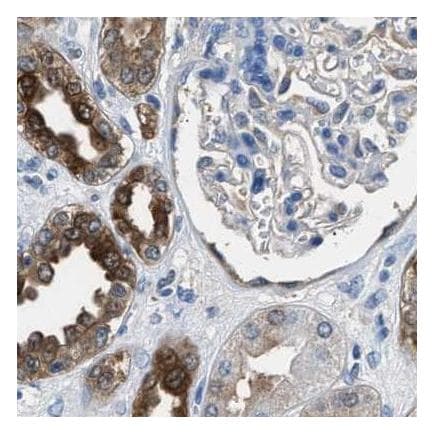
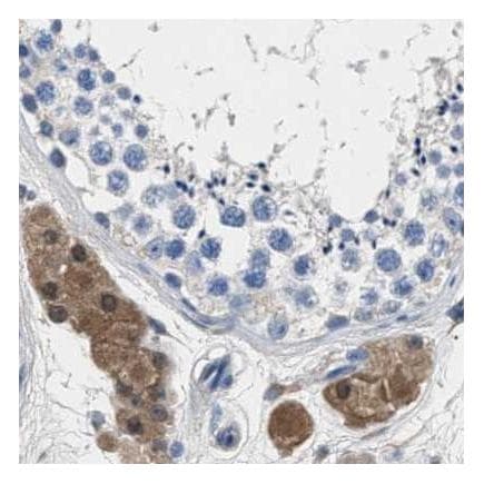
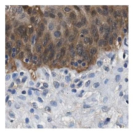
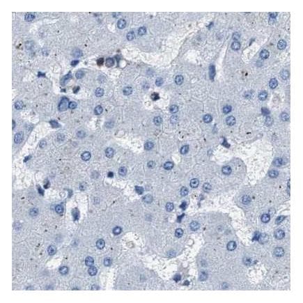
Rabbit Polyclonal GST3 / GST pi antibody. Suitable for IHC-P, WB, ICC/IF and reacts with Human samples. Immunogen corresponding to Recombinant Fragment Protein within Human Glutathione S-transferase P aa 50-150.
Specifications
Shipped At Conditions Blue Ice
Appropriate Long term Storage Conditions Store at -20°C.
Clonality Polyclonal
Applications ICC/IF, IHC-P, WB
Species Reactivity Human
Isotype IgG