JavaScript is disabled in your browser. Please enable JavaScript to view this website.

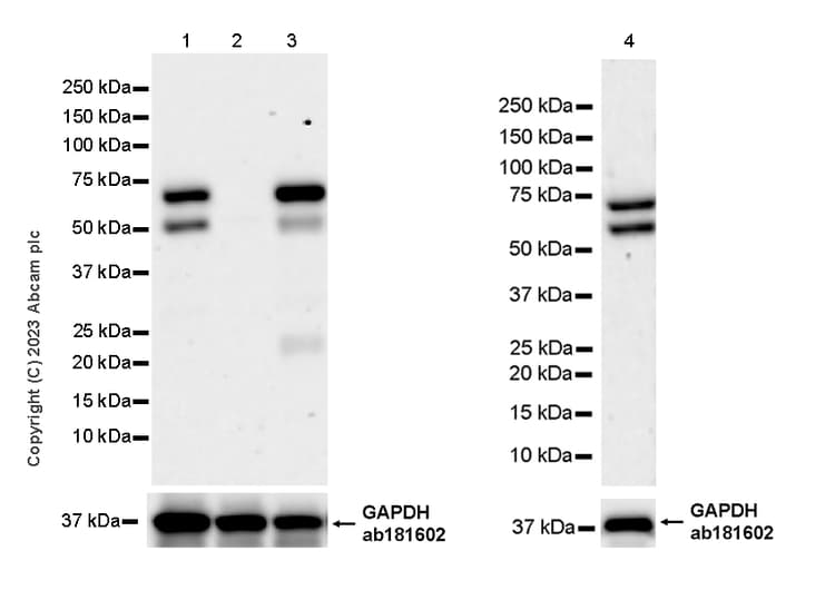
Human PAK4 knockout HEK-293T cell lysate(ab258560)

$undefined

Human PAK4 knockout HEK-293T cell lysate(ab258560)

Human PAK4 knockout HEK-293T cell lysate(ab258560)

Human PAK4 knockout HEK-293T cell lysate(ab258560)

PAK4 KO cell lysate available now. KO validated by Western blot. Free of charge wild type control included. Knockout achieved by using CRISPR/Cas9, Homozygous: 1 bp insertion in exon 4.
Specifications
Shipped At Conditions Ambient - Can Ship with Ice
Appropriate Long term Storage Conditions Store at -20°C.
Applications Sanger seq, WB