JavaScript is disabled in your browser. Please enable JavaScript to view this website.

Anti-Metabotropic Glutamate Receptor 5 antibody [EPR2425Y] - BSA and Azide free(ab256589)

$undefined

Anti-Metabotropic Glutamate Receptor 5 antibody [EPR2425Y] - BSA and Azide free(ab256589)

Anti-Metabotropic Glutamate Receptor 5 antibody [EPR2425Y] - BSA and Azide free(ab256589)

Anti-Metabotropic Glutamate Receptor 5 antibody [EPR2425Y] - BSA and Azide free(ab256589)

Anti-Metabotropic Glutamate Receptor 5 antibody [EPR2425Y] - BSA and Azide free(ab256589)

Anti-Metabotropic Glutamate Receptor 5 antibody [EPR2425Y] - BSA and Azide free(ab256589)

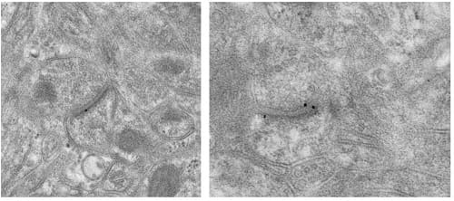
Rabbit Recombinant Monoclonal Metabotropic Glutamate Receptor 5 antibody. Carrier free. Suitable for IHC-P, EM, WB, IHC-Fr, Flow Cyt (Intra) and reacts with Rat, Mouse, Human samples.
Specifications
Shipped At Conditions Blue Ice
Appropriate Long term Storage Conditions Store at +4°C.
Clonality Monoclonal
Applications EM, Flow Cyt (Intra), IHC-Fr, IHC-P, IP, WB
Species Reactivity Human, Mouse, Rat
Isotype IgG