JavaScript is disabled in your browser. Please enable JavaScript to view this website.

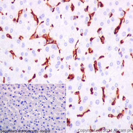
Anti-CD16 antibody [EPR16784] - BSA and Azide free(ab256582)

$undefined

Anti-CD16 antibody [EPR16784] - BSA and Azide free(ab256582)

Anti-CD16 antibody [EPR16784] - BSA and Azide free(ab256582)

Anti-CD16 antibody [EPR16784] - BSA and Azide free(ab256582)

Rabbit Monoclonal CD16a antibody. Carrier free. Suitable for IHC-P, WB and reacts with Synthetic peptide, Human, Rat samples.
Specifications
Shipped At Conditions Blue Ice
Appropriate Long term Storage Conditions Store at +4°C.
Clonality Monoclonal
Applications IHC-P, WB
Species Reactivity Human, Rat
Isotype IgG