JavaScript is disabled in your browser. Please enable JavaScript to view this website.

Anti-PYGL (phospho S15) antibody [EPR20881-72] - BSA and Azide free(ab256553)

$undefined

Anti-PYGL (phospho S15) antibody [EPR20881-72] - BSA and Azide free(ab256553)

Anti-PYGL (phospho S15) antibody [EPR20881-72] - BSA and Azide free(ab256553)

Anti-PYGL (phospho S15) antibody [EPR20881-72] - BSA and Azide free(ab256553)

Anti-PYGL (phospho S15) antibody [EPR20881-72] - BSA and Azide free(ab256553)

Anti-PYGL (phospho S15) antibody [EPR20881-72] - BSA and Azide free(ab256553)

Anti-PYGL (phospho S15) antibody [EPR20881-72] - BSA and Azide free(ab256553)

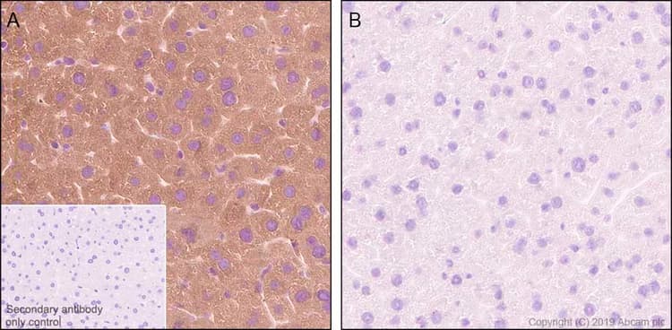
Rabbit Recombinant Monoclonal PYGL phospho S15 antibody. Carrier free. Suitable for IP, Dot, WB, IHC-Fr, IHC-P and reacts with Mouse, Rat, Synthetic peptide - Mouse samples.
Specifications
Shipped At Conditions Blue Ice
Appropriate Long term Storage Conditions Store at +4°C.
Clonality Monoclonal
Applications Dot, IHC-Fr, IHC-P, IP, WB
Species Reactivity Human, Mouse, Rat
Isotype IgG