JavaScript is disabled in your browser. Please enable JavaScript to view this website.

Anti-abCB11/BSEP antibody [EPR22670-64] - BSA and Azide free(ab256536)

$undefined

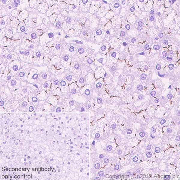
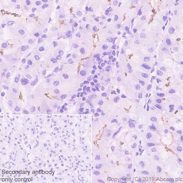
Anti-abCB11/BSEP antibody [EPR22670-64] - BSA and Azide free(ab256536)

Anti-abCB11/BSEP antibody [EPR22670-64] - BSA and Azide free(ab256536)

Anti-abCB11/BSEP antibody [EPR22670-64] - BSA and Azide free(ab256536)

Anti-abCB11/BSEP antibody [EPR22670-64] - BSA and Azide free(ab256536)

Anti-abCB11/BSEP antibody [EPR22670-64] - BSA and Azide free(ab256536)

Rabbit Recombinant Monoclonal abCB11/BSEP antibody. Carrier free. Suitable for ICC/IF, Flow Cyt (Intra), IHC-P and reacts with Human samples.
Specifications
Shipped At Conditions Blue Ice
Appropriate Long term Storage Conditions Store at +4°C.
Clonality Monoclonal
Applications Flow Cyt (Intra), ICC/IF, IHC-P, IP, WB
Species Reactivity Human, Mouse
Isotype IgG