JavaScript is disabled in your browser. Please enable JavaScript to view this website.

Anti-CD177 antibody [EPR22813-205] - BSA and Azide free(ab256510)

$undefined

Anti-CD177 antibody [EPR22813-205] - BSA and Azide free(ab256510)

Anti-CD177 antibody [EPR22813-205] - BSA and Azide free(ab256510)

Anti-CD177 antibody [EPR22813-205] - BSA and Azide free(ab256510)

Anti-CD177 antibody [EPR22813-205] - BSA and Azide free(ab256510)

Anti-CD177 antibody [EPR22813-205] - BSA and Azide free(ab256510)

Anti-CD177 antibody [EPR22813-205] - BSA and Azide free(ab256510)

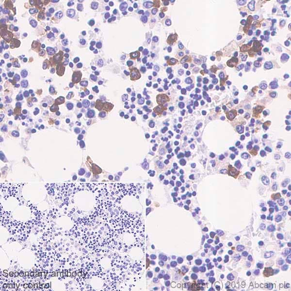
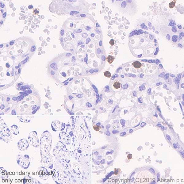
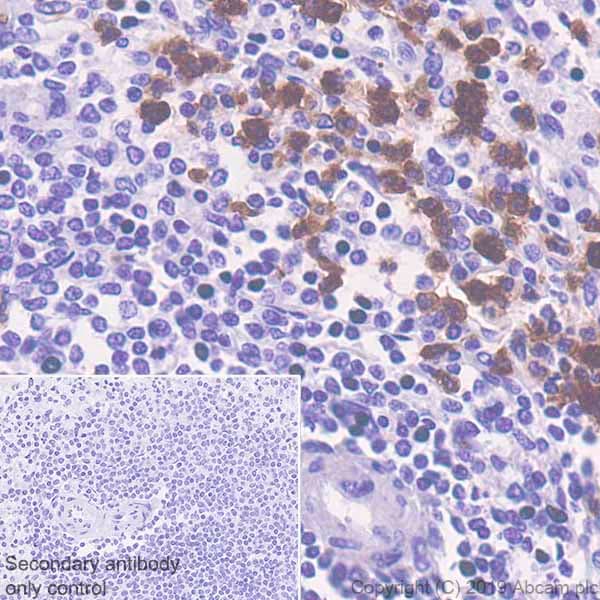
Rabbit Recombinant Monoclonal CD177 antibody. Carrier free. Suitable for WB, IHC-P and reacts with Human samples.
Specifications
Shipped At Conditions Blue Ice
Appropriate Long term Storage Conditions Store at +4°C.
Clonality Monoclonal
Applications Flow Cyt, ICC/IF, IHC-P, IP, WB
Species Reactivity Human
Isotype IgG