JavaScript is disabled in your browser. Please enable JavaScript to view this website.

Anti-ErbB3 / HER3 antibody [EPR22669-25] - BSA and Azide free(ab256504)

$undefined

Anti-ErbB3 / HER3 antibody [EPR22669-25] - BSA and Azide free(ab256504)

Anti-ErbB3 / HER3 antibody [EPR22669-25] - BSA and Azide free(ab256504)

Anti-ErbB3 / HER3 antibody [EPR22669-25] - BSA and Azide free(ab256504)

Anti-ErbB3 / HER3 antibody [EPR22669-25] - BSA and Azide free(ab256504)

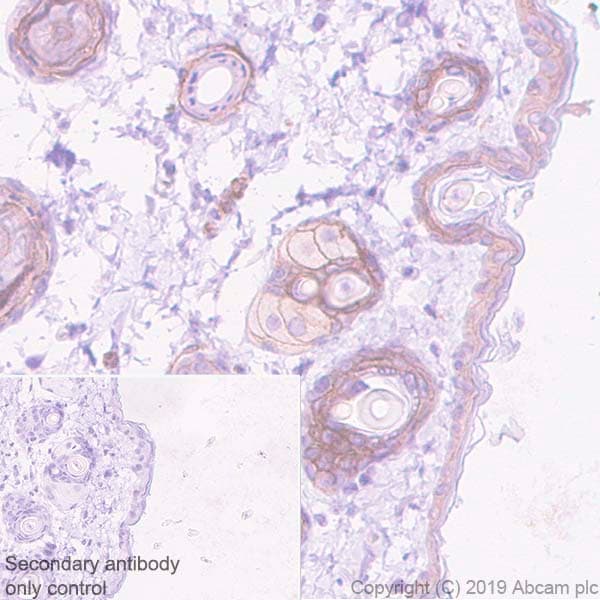
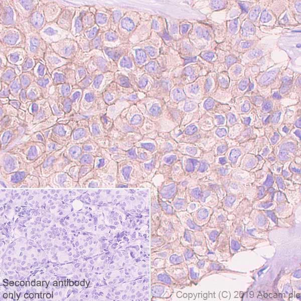
Rabbit Recombinant Monoclonal ErbB3 / HER3 antibody. Carrier free. Suitable for WB, Flow Cyt (Intra), IHC-P and reacts with Mouse, Human samples.
Specifications
Shipped At Conditions Blue Ice
Appropriate Long term Storage Conditions Store at +4°C.
Clonality Monoclonal
Applications Flow Cyt (Intra), ICC/IF, IHC-Fr, IHC-P, IP, WB
Species Reactivity Human, Mouse
Isotype IgG