JavaScript is disabled in your browser. Please enable JavaScript to view this website.

Anti-Melanoma gp100 antibody [EP4863(2)] - BSA and Azide free(ab256497)

$undefined

Anti-Melanoma gp100 antibody [EP4863(2)] - BSA and Azide free(ab256497)

Anti-Melanoma gp100 antibody [EP4863(2)] - BSA and Azide free(ab256497)

Anti-Melanoma gp100 antibody [EP4863(2)] - BSA and Azide free(ab256497)

Anti-Melanoma gp100 antibody [EP4863(2)] - BSA and Azide free(ab256497)

Anti-Melanoma gp100 antibody [EP4863(2)] - BSA and Azide free(ab256497)

Anti-Melanoma gp100 antibody [EP4863(2)] - BSA and Azide free(ab256497)

Anti-Melanoma gp100 antibody [EP4863(2)] - BSA and Azide free(ab256497)

Anti-Melanoma gp100 antibody [EP4863(2)] - BSA and Azide free(ab256497)

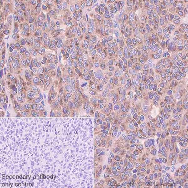
Rabbit Recombinant Monoclonal Melanoma gp100 antibody. Carrier free. Suitable for IHC-P, ICC/IF, IP, WB, Flow Cyt (Intra) and reacts with Human, Mouse samples.
Specifications
Shipped At Conditions Blue Ice
Appropriate Long term Storage Conditions Store at +4°C.
Clonality Monoclonal
Applications Flow Cyt (Intra), ICC/IF, IHC-P, IP, WB
Species Reactivity Human, Mouse
Isotype IgG