JavaScript is disabled in your browser. Please enable JavaScript to view this website.

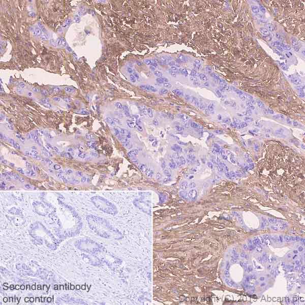
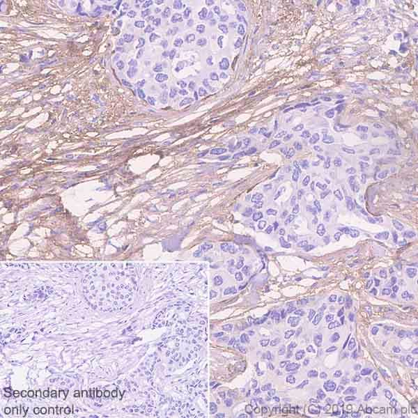
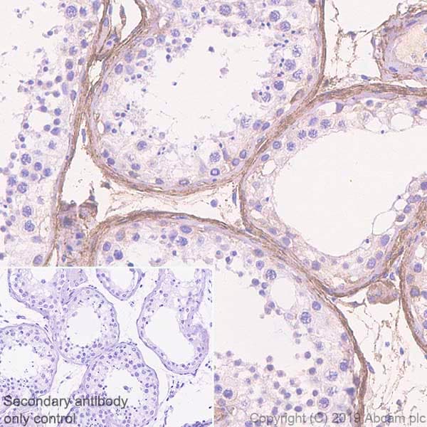
Anti-EFEMP1/Fibulin-3 antibody [EPR22855-4](AB256457)

$undefined

Anti-EFEMP1/Fibulin-3 antibody [EPR22855-4](AB256457)

Anti-EFEMP1/Fibulin-3 antibody [EPR22855-4](AB256457)

Anti-EFEMP1/Fibulin-3 antibody [EPR22855-4](AB256457)

Anti-EFEMP1/Fibulin-3 antibody [EPR22855-4](AB256457)

Anti-EFEMP1/Fibulin-3 antibody [EPR22855-4](AB256457)

Anti-EFEMP1/Fibulin-3 antibody [EPR22855-4](AB256457)

Anti-EFEMP1/Fibulin-3 antibody [EPR22855-4](AB256457)

Anti-EFEMP1/Fibulin-3 antibody [EPR22855-4](AB256457)

Rabbit Recombinant Monoclonal EFEMP1/Fibulin-3 antibody. Suitable for IP, WB, IHC-P, ICC/IF, Flow Cyt (Intra) and reacts with Human samples. Cited in 2 publications.
Specifications
Shipped At Conditions Blue Ice
Appropriate Long term Storage Conditions Store at -20°C.
Clonality Monoclonal
Applications Flow Cyt (Intra), ICC/IF, IHC-P, IP, WB
Species Reactivity Human
Isotype IgG