JavaScript is disabled in your browser. Please enable JavaScript to view this website.

Anti-FCGRT/FCRN antibody [EPR22627-25] - BSA and Azide free(AB256121)

$undefined

Anti-FCGRT/FCRN antibody [EPR22627-25] - BSA and Azide free(AB256121)

Anti-FCGRT/FCRN antibody [EPR22627-25] - BSA and Azide free(AB256121)

Anti-FCGRT/FCRN antibody [EPR22627-25] - BSA and Azide free(AB256121)

Anti-FCGRT/FCRN antibody [EPR22627-25] - BSA and Azide free(AB256121)

Anti-FCGRT/FCRN antibody [EPR22627-25] - BSA and Azide free(AB256121)

Anti-FCGRT/FCRN antibody [EPR22627-25] - BSA and Azide free(AB256121)

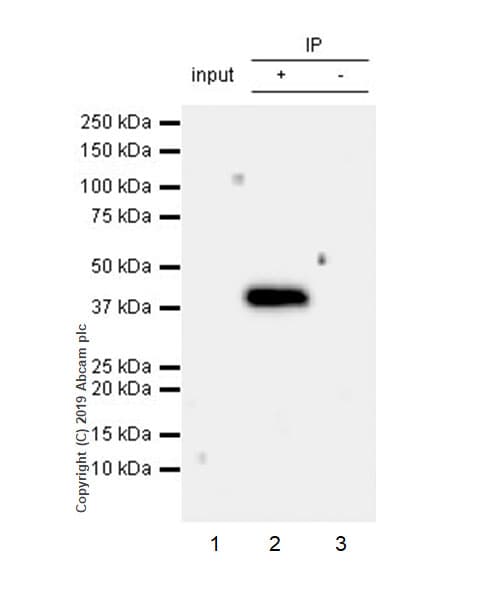
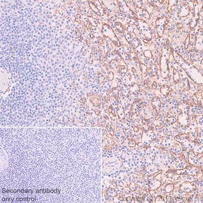
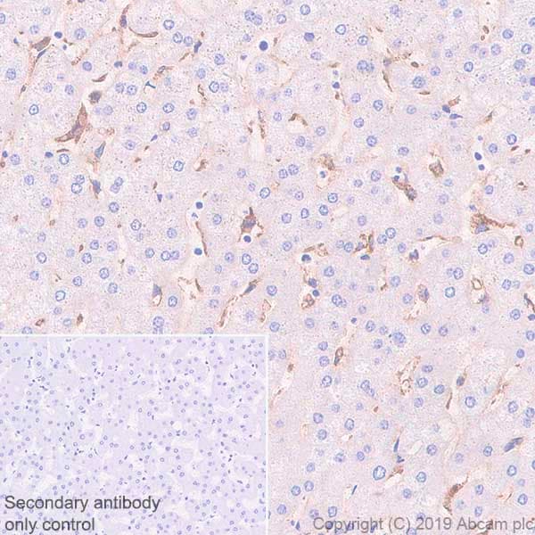
Rabbit Recombinant Monoclonal FCGRT/FCRN antibody. Carrier free. Suitable for IP, Flow Cyt, WB, IHC-P and reacts with Human samples.
Specifications
Shipped At Conditions Blue Ice
Appropriate Long term Storage Conditions Store at +4°C.
Clonality Monoclonal
Applications Human
Species Reactivity Flow Cyt, ICC/IF, IHC-P, IP, WB
Isotype IgG
Conjugation -
CAS Number -