JavaScript is disabled in your browser. Please enable JavaScript to view this website.

Anti-IP3 receptor antibody [L24/18] - BSA and Azide free(ab255762)

$undefined

Anti-IP3 receptor antibody [L24/18] - BSA and Azide free(ab255762)

Anti-IP3 receptor antibody [L24/18] - BSA and Azide free(ab255762)

Anti-IP3 receptor antibody [L24/18] - BSA and Azide free(ab255762)

Anti-IP3 receptor antibody [L24/18] - BSA and Azide free(ab255762)

Anti-IP3 receptor antibody [L24/18] - BSA and Azide free(ab255762)

Anti-IP3 receptor antibody [L24/18] - BSA and Azide free(ab255762)

Anti-IP3 receptor antibody [L24/18] - BSA and Azide free(ab255762)

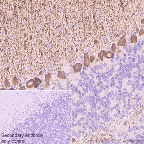
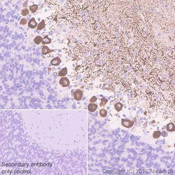
Mouse Recombinant Monoclonal IP3 receptor antibody. Carrier free. Suitable for Flow Cyt, WB, IHC-Fr, IHC-P and reacts with Human, Mouse, Rat samples.
Specifications
Shipped At Conditions Blue Ice
Appropriate Long term Storage Conditions Store at +4°C.
Clonality Monoclonal
Applications Flow Cyt, ICC/IF, IHC-Fr, IHC-P, WB
Species Reactivity Human, Mouse, Rat
Isotype IgG