JavaScript is disabled in your browser. Please enable JavaScript to view this website.

Anti-SIX1 antibody [1229] - BSA and Azide free(ab255759)

$undefined

Anti-SIX1 antibody [1229] - BSA and Azide free(ab255759)

Anti-SIX1 antibody [1229] - BSA and Azide free(ab255759)

Anti-SIX1 antibody [1229] - BSA and Azide free(ab255759)

Anti-SIX1 antibody [1229] - BSA and Azide free(ab255759)

Anti-SIX1 antibody [1229] - BSA and Azide free(ab255759)

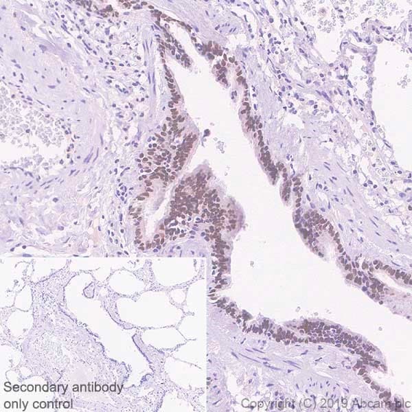
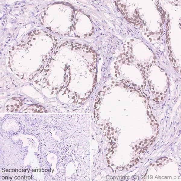
Mouse Recombinant Monoclonal SIX1 antibody. Carrier free. Suitable for WB, ICC/IF, IHC-P and reacts with Human samples.
Specifications
Shipped At Conditions Blue Ice
Appropriate Long term Storage Conditions Store at +4°C.
Clonality Monoclonal
Applications ICC/IF, IHC-P, WB
Species Reactivity Human
Isotype IgG1