JavaScript is disabled in your browser. Please enable JavaScript to view this website.

Anti-PAX6 antibody [AD2.35] - BSA and Azide free(ab255758)

$undefined

Anti-PAX6 antibody [AD2.35] - BSA and Azide free(ab255758)

Anti-PAX6 antibody [AD2.35] - BSA and Azide free(ab255758)

Anti-PAX6 antibody [AD2.35] - BSA and Azide free(ab255758)

Anti-PAX6 antibody [AD2.35] - BSA and Azide free(ab255758)

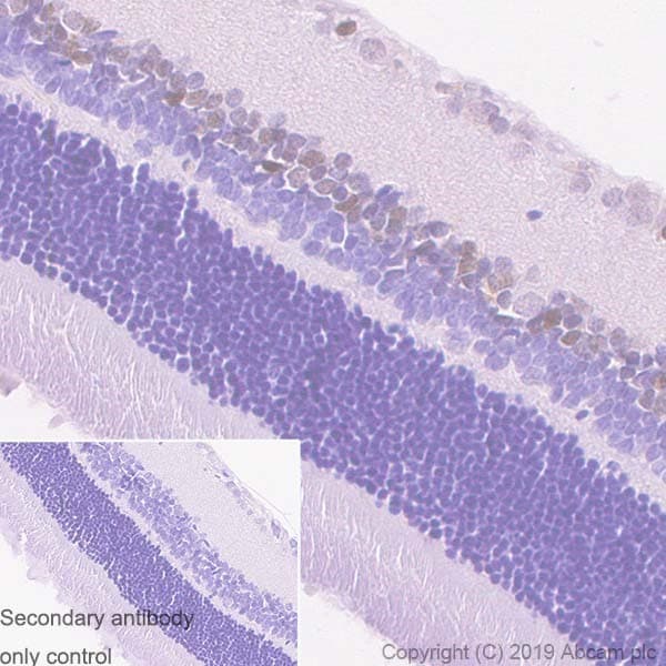
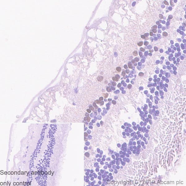
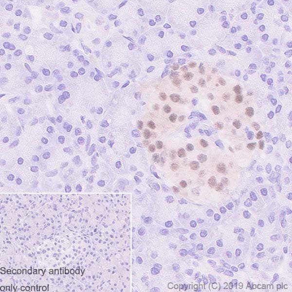
Mouse Recombinant Monoclonal PAX6 antibody. Carrier free. Suitable for IHC-P and reacts with Mouse, Rat, Human samples. Cited in 1 publication.
Specifications
Shipped At Conditions Blue Ice
Appropriate Long term Storage Conditions Store at +4°C.
Clonality Monoclonal
Applications IHC-P
Species Reactivity Human, Mouse, Rat
Isotype IgG2a