JavaScript is disabled in your browser. Please enable JavaScript to view this website.

Anti-Uroplakin Ia antibody [4B4] - BSA and Azide free(ab255742)

$undefined

Anti-Uroplakin Ia antibody [4B4] - BSA and Azide free(ab255742)

Anti-Uroplakin Ia antibody [4B4] - BSA and Azide free(ab255742)

Anti-Uroplakin Ia antibody [4B4] - BSA and Azide free(ab255742)

Anti-Uroplakin Ia antibody [4B4] - BSA and Azide free(ab255742)

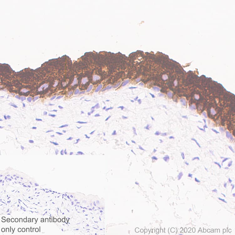
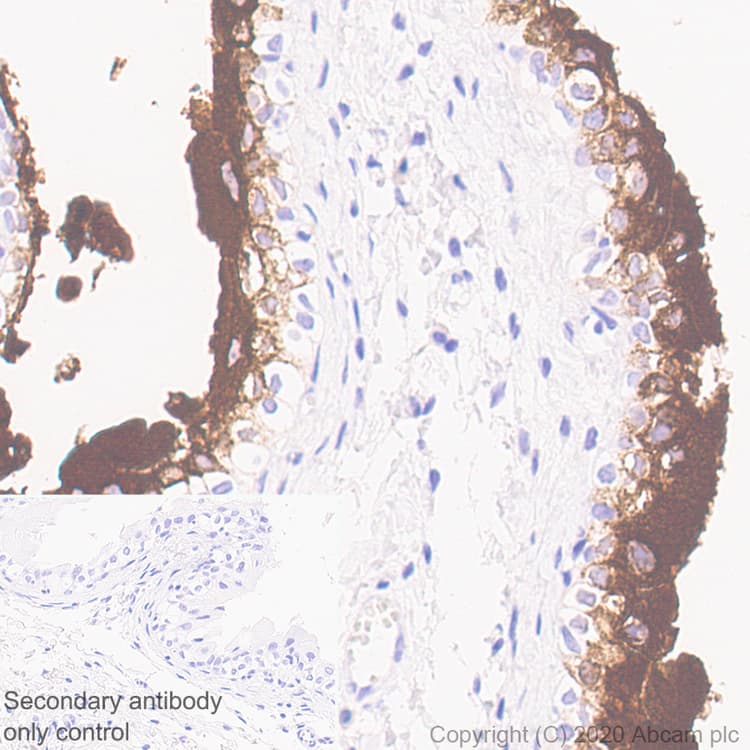
Mouse Recombinant Monoclonal Uroplakin Ia antibody. Carrier free. Suitable for IHC-P and reacts with Mouse, Rat samples.
Specifications
Shipped At Conditions Blue Ice
Appropriate Long term Storage Conditions Store at +4°C.
Clonality Monoclonal
Applications IHC-P, WB
Species Reactivity Human, Mouse, Rat
Isotype IgG1