JavaScript is disabled in your browser. Please enable JavaScript to view this website.

Anti-DAG1 antibody [IIH6C4] - BSA and Azide free(ab255738)

$undefined

Anti-DAG1 antibody [IIH6C4] - BSA and Azide free(ab255738)

Anti-DAG1 antibody [IIH6C4] - BSA and Azide free(ab255738)

Anti-DAG1 antibody [IIH6C4] - BSA and Azide free(ab255738)

Anti-DAG1 antibody [IIH6C4] - BSA and Azide free(ab255738)

Anti-DAG1 antibody [IIH6C4] - BSA and Azide free(ab255738)

Anti-DAG1 antibody [IIH6C4] - BSA and Azide free(ab255738)

Anti-DAG1 antibody [IIH6C4] - BSA and Azide free(ab255738)

Anti-DAG1 antibody [IIH6C4] - BSA and Azide free(ab255738)

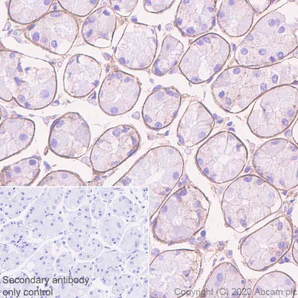
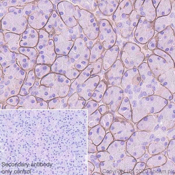
Mouse Recombinant Monoclonal DAG1 antibody. Carrier free. Suitable for WB, IHC-P, IHC-Fr and reacts with Human, Mouse, Rat samples. Cited in 1 publication.
Specifications
Shipped At Conditions Blue Ice
Appropriate Long term Storage Conditions Store at +4°C.
Clonality Monoclonal
Applications IHC-Fr, IHC-P, WB
Species Reactivity Human, Mouse, Rat
Isotype IgM