JavaScript is disabled in your browser. Please enable JavaScript to view this website.

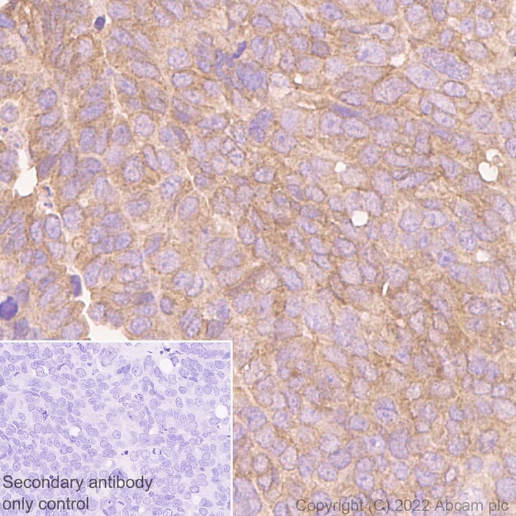
Anti-SIK3 antibody [EPR23554-71](ab255701)

$undefined

Anti-SIK3 antibody [EPR23554-71](ab255701)

Anti-SIK3 antibody [EPR23554-71](ab255701)

Anti-SIK3 antibody [EPR23554-71](ab255701)

Anti-SIK3 antibody [EPR23554-71](ab255701)

Anti-SIK3 antibody [EPR23554-71](ab255701)

Anti-SIK3 antibody [EPR23554-71](ab255701)

Anti-SIK3 antibody [EPR23554-71](ab255701)

Rabbit Recombinant Monoclonal SIK3 antibody. Suitable for ICC/IF, IP, WB, IHC-P, Flow Cyt (Intra) and reacts with Mouse, Rat, Human samples.
Specifications
Shipped At Conditions Blue Ice
Appropriate Long term Storage Conditions Store at -20°C.
Clonality Monoclonal
Applications Flow Cyt (Intra), ICC/IF, IHC-P, IP, WB
Species Reactivity Human, Mouse, Rat
Isotype IgG