JavaScript is disabled in your browser. Please enable JavaScript to view this website.

Anti-CD3 epsilon antibody [EPR22667-12] - BSA and Azide free(ab255697)

$undefined

Anti-CD3 epsilon antibody [EPR22667-12] - BSA and Azide free(ab255697)

Anti-CD3 epsilon antibody [EPR22667-12] - BSA and Azide free(ab255697)

Anti-CD3 epsilon antibody [EPR22667-12] - BSA and Azide free(ab255697)

Anti-CD3 epsilon antibody [EPR22667-12] - BSA and Azide free(ab255697)

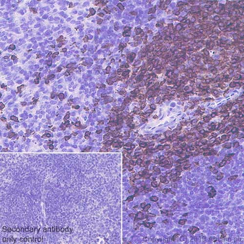
Rabbit Recombinant Monoclonal CD3E antibody. Carrier free. Suitable for IP, WB, ICC/IF, IHC-P and reacts with Mouse samples.
Specifications
Shipped At Conditions Blue Ice
Appropriate Long term Storage Conditions Store at +4°C.
Clonality Monoclonal
Applications Flow Cyt, ICC/IF, IHC-P, IP, WB
Species Reactivity Mouse
Isotype IgG