JavaScript is disabled in your browser. Please enable JavaScript to view this website.

Anti-Stanniocalcin 2/STC-2 antibody [EPR22866-10](ab255610)

$undefined

Anti-Stanniocalcin 2/STC-2 antibody [EPR22866-10](ab255610)

Anti-Stanniocalcin 2/STC-2 antibody [EPR22866-10](ab255610)

Anti-Stanniocalcin 2/STC-2 antibody [EPR22866-10](ab255610)

Anti-Stanniocalcin 2/STC-2 antibody [EPR22866-10](ab255610)

Anti-Stanniocalcin 2/STC-2 antibody [EPR22866-10](ab255610)

Anti-Stanniocalcin 2/STC-2 antibody [EPR22866-10](ab255610)

Anti-Stanniocalcin 2/STC-2 antibody [EPR22866-10](ab255610)

Anti-Stanniocalcin 2/STC-2 antibody [EPR22866-10](ab255610)

Anti-Stanniocalcin 2/STC-2 antibody [EPR22866-10](ab255610)

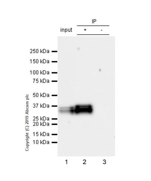
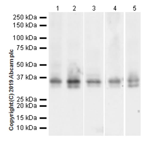
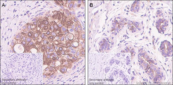
Rabbit Recombinant Monoclonal Stanniocalcin 2/STC-2 antibody. Suitable for IP, WB, ICC/IF, Flow Cyt (Intra), IHC-P and reacts with Human samples. Cited in 2 publications.
Specifications
Shipped At Conditions Blue Ice
Appropriate Long term Storage Conditions Store at -20°C.
Clonality Monoclonal
Applications Flow Cyt (Intra), ICC/IF, IHC-P, IP, WB
Species Reactivity Human
Isotype IgG