JavaScript is disabled in your browser. Please enable JavaScript to view this website.

Anti-Ly-6A/E (Sca-1) antibody [EPR22502-68](ab255604)

$undefined

Anti-Ly-6A/E (Sca-1) antibody [EPR22502-68](ab255604)

Anti-Ly-6A/E (Sca-1) antibody [EPR22502-68](ab255604)

Anti-Ly-6A/E (Sca-1) antibody [EPR22502-68](ab255604)

Anti-Ly-6A/E (Sca-1) antibody [EPR22502-68](ab255604)

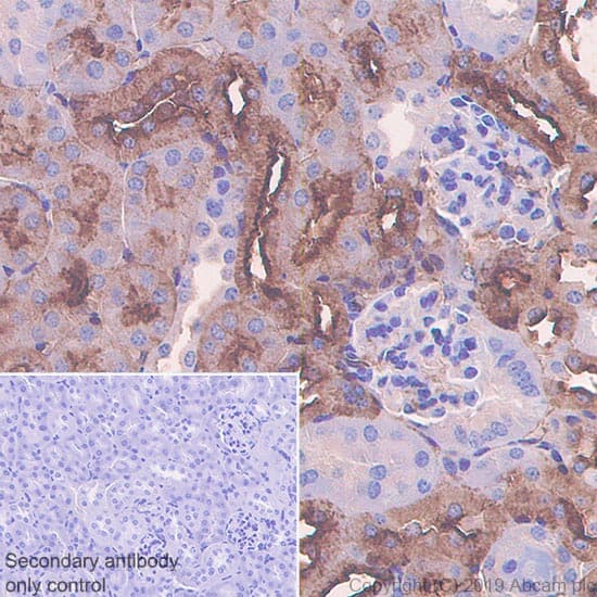
Rabbit Recombinant Monoclonal Sca1 / Ly6A/E antibody. Suitable for WB, IHC-P and reacts with Mouse samples.
Specifications
Shipped At Conditions Blue Ice
Appropriate Long term Storage Conditions Store at -20°C.
Clonality Monoclonal
Applications Flow Cyt, ICC/IF, IHC-P, IP, WB
Species Reactivity Mouse
Isotype IgG