JavaScript is disabled in your browser. Please enable JavaScript to view this website.

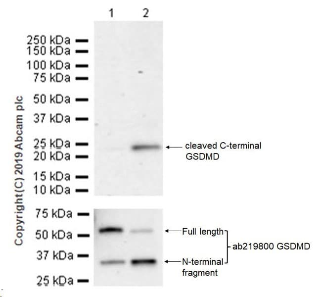
Anti-cleaved C-terminal GSDMD antibody [EPR20859-147](ab255603)

$undefined

Anti-cleaved C-terminal GSDMD antibody [EPR20859-147](ab255603)

Rabbit Recombinant Monoclonal GSDMD antibody. Suitable for WB and reacts with Mouse samples. Cited in 9 publications.
Specifications
Shipped At Conditions Blue Ice
Appropriate Long term Storage Conditions Store at -20°C.
Clonality Monoclonal
Applications Flow Cyt, ICC/IF, IHC-P, IP, WB
Species Reactivity Mouse
Isotype IgG