JavaScript is disabled in your browser. Please enable JavaScript to view this website.

Anti-Semaphorin 7a antibody [EPR22644-79](ab255602)

$undefined

Anti-Semaphorin 7a antibody [EPR22644-79](ab255602)

Anti-Semaphorin 7a antibody [EPR22644-79](ab255602)

Anti-Semaphorin 7a antibody [EPR22644-79](ab255602)

Anti-Semaphorin 7a antibody [EPR22644-79](ab255602)

Anti-Semaphorin 7a antibody [EPR22644-79](ab255602)

Anti-Semaphorin 7a antibody [EPR22644-79](ab255602)

Anti-Semaphorin 7a antibody [EPR22644-79](ab255602)

Anti-Semaphorin 7a antibody [EPR22644-79](ab255602)

Anti-Semaphorin 7a antibody [EPR22644-79](ab255602)

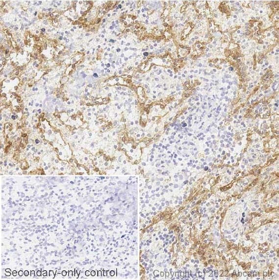
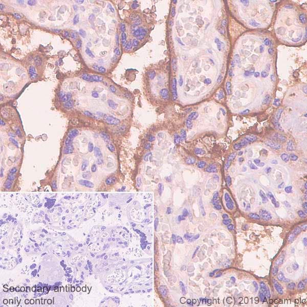
Rabbit Recombinant Monoclonal Semaphorin 7a antibody. Suitable for IP, Flow Cyt, WB, IHC-P, IHC-Fr and reacts with Human samples. Cited in 1 publication.
Specifications
Shipped At Conditions Blue Ice
Appropriate Long term Storage Conditions Store at -20°C.
Clonality Monoclonal
Applications Flow Cyt, ICC/IF, IHC-Fr, IHC-P, IP, WB
Species Reactivity Human, Mouse, Rat
Isotype IgG