JavaScript is disabled in your browser. Please enable JavaScript to view this website.

Anti-Granzyme B antibody [EPR22645-206](ab255598)

$undefined

Anti-Granzyme B antibody [EPR22645-206](ab255598)

Anti-Granzyme B antibody [EPR22645-206](ab255598)

Anti-Granzyme B antibody [EPR22645-206](ab255598)

Anti-Granzyme B antibody [EPR22645-206](ab255598)

Anti-Granzyme B antibody [EPR22645-206](ab255598)

Anti-Granzyme B antibody [EPR22645-206](ab255598)

Anti-Granzyme B antibody [EPR22645-206](ab255598)

Anti-Granzyme B antibody [EPR22645-206](ab255598)

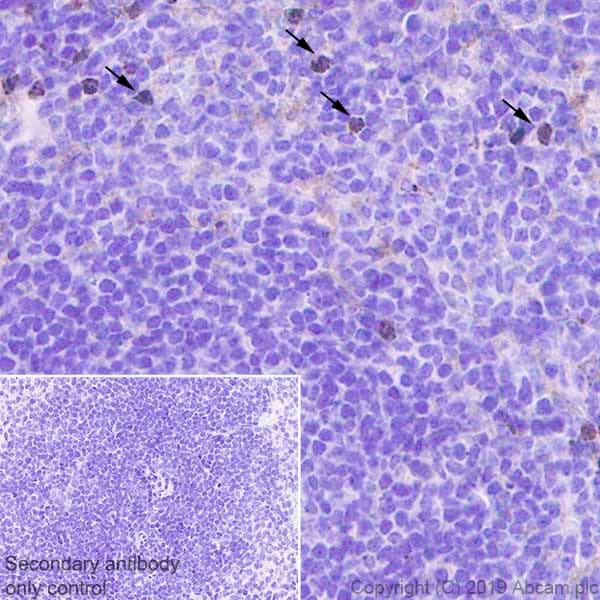
Anti-Granzyme B antibody [EPR22645-206] ab255598 is a rabbit monoclonal antibody that is used in Granzyme B western blotting and IHC. Suitable for human, mouse and rat samples.

- Recombinant format for unrivaled batch-batch consistency: no need for same-lot requests
- Antibody clone EPR22645-206 is cited in over 50 publications
Specifications
Shipped At Conditions Blue Ice
Appropriate Long term Storage Conditions Store at -20°C.
Clonality Monoclonal
Applications Flow Cyt, ICC/IF, IHC-Fr, IHC-P, IP, WB
Species Reactivity Human, Mouse, Rat
Isotype IgG