JavaScript is disabled in your browser. Please enable JavaScript to view this website.

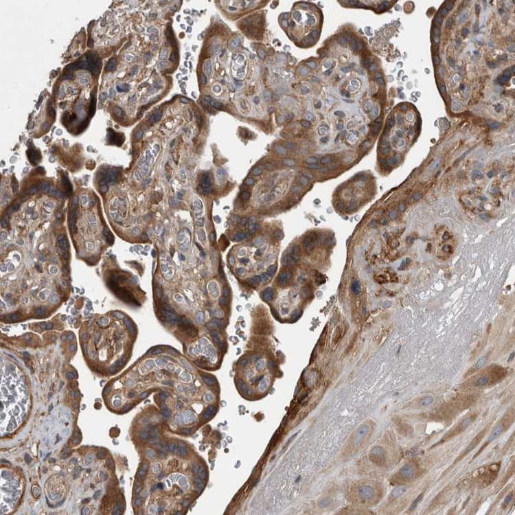
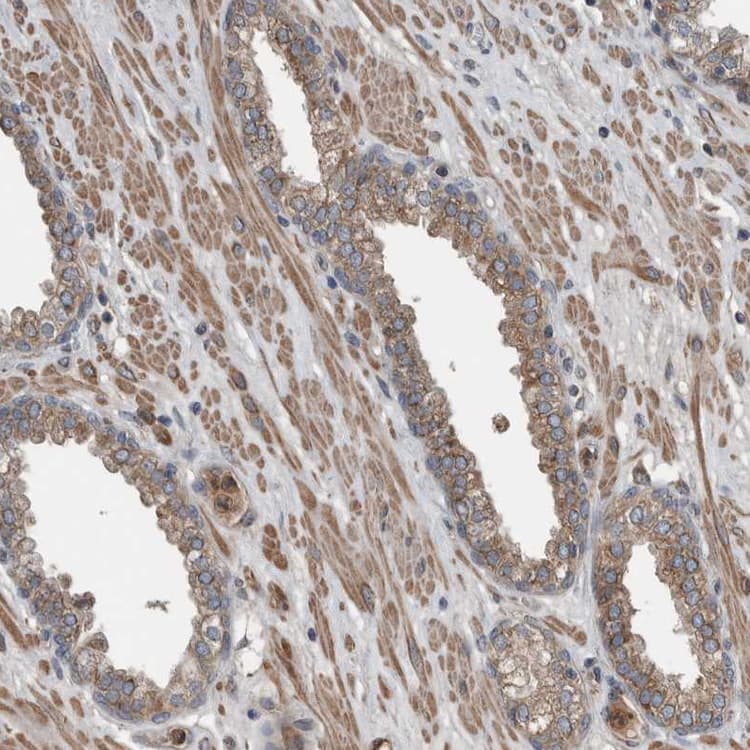
Anti-EXOC8 antibody(AB254804)

$undefined

Anti-EXOC8 antibody(AB254804)

Anti-EXOC8 antibody(AB254804)

Anti-EXOC8 antibody(AB254804)

Anti-EXOC8 antibody(AB254804)

Anti-EXOC8 antibody(AB254804)

Anti-EXOC8 antibody(AB254804)

Rabbit Polyclonal EXOC8 antibody. Suitable for IHC-P, WB, ICC/IF and reacts with Human samples. Immunogen corresponding to Recombinant Fragment Protein within Human Exocyst complex component 8 aa 100-250.
Specifications
Shipped At Conditions Blue Ice
Appropriate Long term Storage Conditions Store at -20°C.
Clonality Polyclonal
Applications ICC/IF, IHC-P, WB
Species Reactivity Human
Isotype IgG