JavaScript is disabled in your browser. Please enable JavaScript to view this website.

Anti-IL-1 beta antibody [EPR23851-127](AB254360)

$undefined

Anti-IL-1 beta antibody [EPR23851-127](AB254360)

Anti-IL-1 beta antibody [EPR23851-127](AB254360)

Anti-IL-1 beta antibody [EPR23851-127](AB254360)

Anti-IL-1 beta antibody [EPR23851-127](AB254360)

Anti-IL-1 beta antibody [EPR23851-127](AB254360)

Anti-IL-1 beta antibody [EPR23851-127](AB254360)

Anti-IL-1 beta antibody [EPR23851-127](AB254360)

Anti-IL-1 beta antibody [EPR23851-127](AB254360)

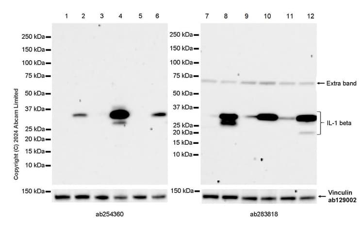
Anti-IL-1 beta antibody [EPR23851-127] ab254360 is a rabbit monoclonal antibody that is used in IL-1 beta western blotting, immunofluorescence and flow cytometry. Suitable for human, mouse and rat samples.

- Recombinant format for unrivaled batch-batch consistency: no need for same-lot requests
- Specificity confirmed with Il1b knockout cell line validation
New 20 ul size available
Specifications
Shipped At Conditions Blue Ice
Appropriate Long term Storage Conditions Store at -20°C.
Clonality Monoclonal
Applications Human, Mouse, Rat
Species Reactivity Flow Cyt (Intra), ICC/IF, IHC-P, IP, WB
Isotype IgG
Conjugation -
CAS Number -