JavaScript is disabled in your browser. Please enable JavaScript to view this website.

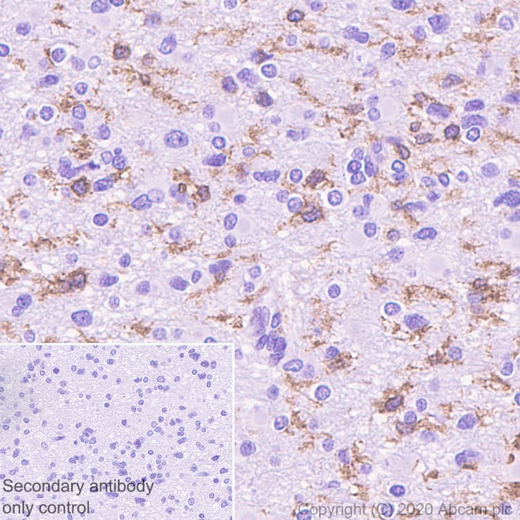
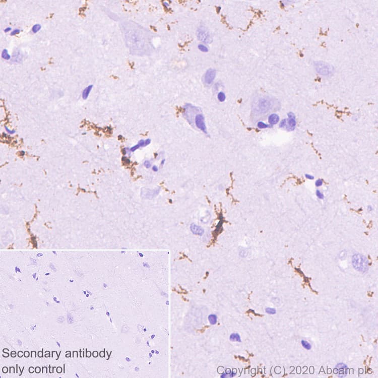
Anti-P2Y12 antibody [EPR23511-72](ab254347)

$undefined

Anti-P2Y12 antibody [EPR23511-72](ab254347)

Anti-P2Y12 antibody [EPR23511-72](ab254347)

Anti-P2Y12 antibody [EPR23511-72](ab254347)

Anti-P2Y12 antibody [EPR23511-72](ab254347)

Anti-P2Y12 antibody [EPR23511-72](ab254347)

Anti-P2Y12 antibody [EPR23511-72](ab254347)

Anti-P2Y12 antibody [EPR23511-72](ab254347)

Rabbit Recombinant Monoclonal P2Y12 antibody. Suitable for mIHC, Dot, IHC-P and reacts with Human samples.
Specifications
Shipped At Conditions Blue Ice
Appropriate Long term Storage Conditions Store at -20°C.
Clonality Monoclonal
Applications Dot, Flow Cyt, ICC/IF, IHC-P, IP, WB, mIHC
Species Reactivity Human, Mouse, Rat
Isotype IgG