JavaScript is disabled in your browser. Please enable JavaScript to view this website.

Anti-Eph receptor B4/HTK antibody [EPR23222-24](ab254301)

$undefined

Anti-Eph receptor B4/HTK antibody [EPR23222-24](ab254301)

Anti-Eph receptor B4/HTK antibody [EPR23222-24](ab254301)

Anti-Eph receptor B4/HTK antibody [EPR23222-24](ab254301)

Anti-Eph receptor B4/HTK antibody [EPR23222-24](ab254301)

Anti-Eph receptor B4/HTK antibody [EPR23222-24](ab254301)

Anti-Eph receptor B4/HTK antibody [EPR23222-24](ab254301)

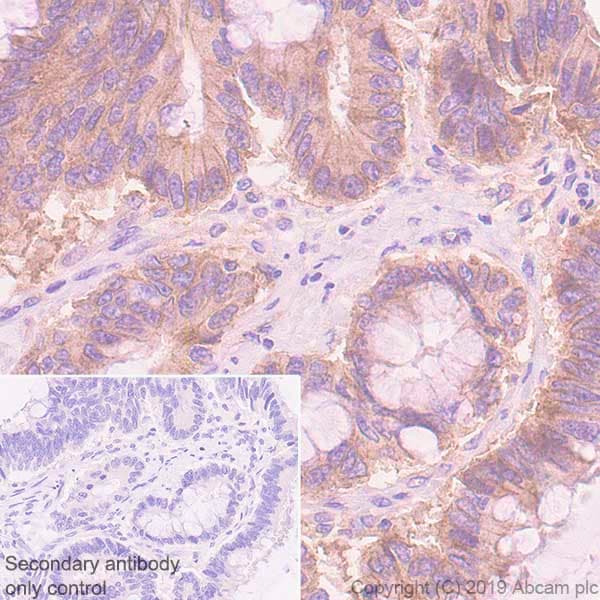
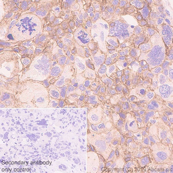
Rabbit Recombinant Monoclonal Eph receptor B4/HTK antibody. Suitable for WB, IHC-P and reacts with Mouse, Human samples. Cited in 2 publications.
Specifications
Shipped At Conditions Blue Ice
Appropriate Long term Storage Conditions Store at -20°C.
Clonality Monoclonal
Applications Flow Cyt, ICC/IF, IHC-P, IP, WB
Species Reactivity Human, Mouse
Isotype IgG