JavaScript is disabled in your browser. Please enable JavaScript to view this website.

Anti-Eg5 antibody [EPR23276-52](ab254298)

$undefined

Anti-Eg5 antibody [EPR23276-52](ab254298)

Anti-Eg5 antibody [EPR23276-52](ab254298)

Anti-Eg5 antibody [EPR23276-52](ab254298)

Anti-Eg5 antibody [EPR23276-52](ab254298)

Anti-Eg5 antibody [EPR23276-52](ab254298)

Anti-Eg5 antibody [EPR23276-52](ab254298)

Anti-Eg5 antibody [EPR23276-52](ab254298)

Anti-Eg5 antibody [EPR23276-52](ab254298)

Anti-Eg5 antibody [EPR23276-52](ab254298)

Anti-Eg5 antibody [EPR23276-52](ab254298)

Anti-Eg5 antibody [EPR23276-52](ab254298)

Anti-Eg5 antibody [EPR23276-52](ab254298)

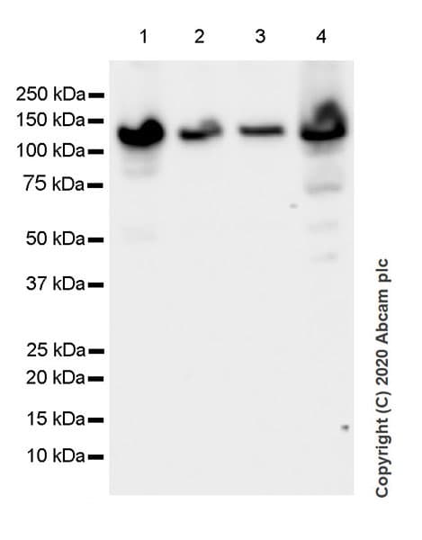
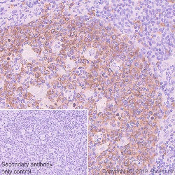
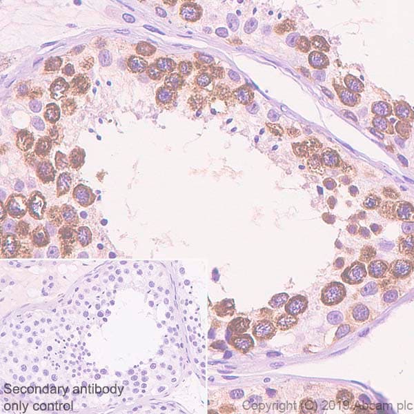
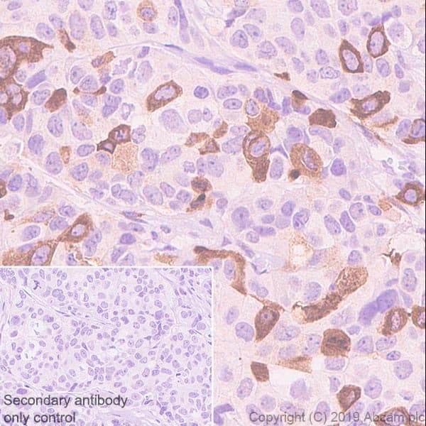
Rabbit Recombinant Monoclonal Eg5 antibody. Suitable for IP, WB, ICC/IF, Flow Cyt (Intra), IHC-P and reacts with Mouse, Human samples. Cited in 4 publications.
Specifications
Shipped At Conditions Blue Ice
Appropriate Long term Storage Conditions Store at -20°C.
Clonality Monoclonal
Applications Flow Cyt (Intra), ICC/IF, IHC-Fr, IHC-P, IP, WB
Species Reactivity Human, Mouse, Rat
Isotype IgG