JavaScript is disabled in your browser. Please enable JavaScript to view this website.

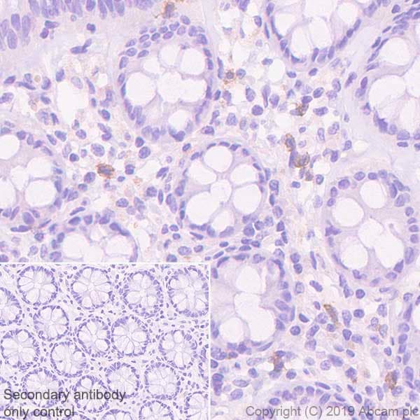
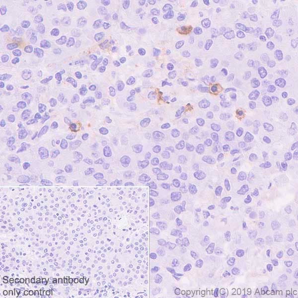
Anti-EMR1/ADGRE1 (F4/80) antibody [EPR23225-94](ab254293)

$undefined

Anti-EMR1/ADGRE1 (F4/80) antibody [EPR23225-94](ab254293)

Anti-EMR1/ADGRE1 (F4/80) antibody [EPR23225-94](ab254293)

Anti-EMR1/ADGRE1 (F4/80) antibody [EPR23225-94](ab254293)

Anti-EMR1/ADGRE1 (F4/80) antibody [EPR23225-94](ab254293)

Anti-EMR1/ADGRE1 (F4/80) antibody [EPR23225-94](ab254293)

Anti-EMR1/ADGRE1 (F4/80) antibody [EPR23225-94](ab254293)

Rabbit Recombinant Monoclonal F4/80 antibody. Suitable for Flow Cyt, WB, ICC/IF, IHC-P and reacts with Human samples. Cited in 2 publications.
Specifications
Shipped At Conditions Blue Ice
Appropriate Long term Storage Conditions Store at -20°C.
Clonality Monoclonal
Applications Flow Cyt, ICC/IF, IHC-P, IP, WB
Species Reactivity Human
Isotype IgG