JavaScript is disabled in your browser. Please enable JavaScript to view this website.

Anti-CD272/BTLA antibody [EPR22224-271] - BSA and Azide free(ab254287)

$undefined

Anti-CD272/BTLA antibody [EPR22224-271] - BSA and Azide free(ab254287)

Anti-CD272/BTLA antibody [EPR22224-271] - BSA and Azide free(ab254287)

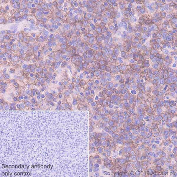
Rabbit Recombinant Monoclonal CD272/BTLA antibody. Carrier free. Suitable for IHC-P and reacts with Human samples.
Specifications
Shipped At Conditions Blue Ice
Appropriate Long term Storage Conditions Store at +4°C.
Clonality Monoclonal
Applications Flow Cyt, ICC/IF, IHC-P, IP, WB
Species Reactivity Human
Isotype IgG