JavaScript is disabled in your browser. Please enable JavaScript to view this website.

Anti-LMO2 antibody [EPR22404-45] - BSA and Azide free(ab254270)

$undefined

Anti-LMO2 antibody [EPR22404-45] - BSA and Azide free(ab254270)

Anti-LMO2 antibody [EPR22404-45] - BSA and Azide free(ab254270)

Anti-LMO2 antibody [EPR22404-45] - BSA and Azide free(ab254270)

Anti-LMO2 antibody [EPR22404-45] - BSA and Azide free(ab254270)

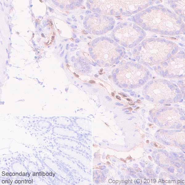
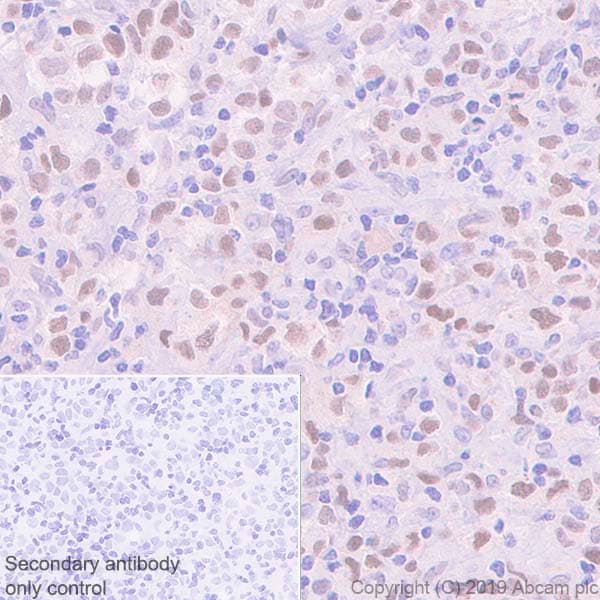
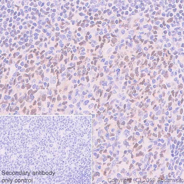
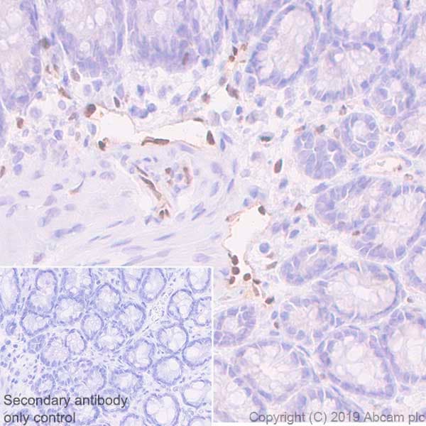
Rabbit Recombinant Monoclonal LMO2 antibody. Carrier free. Suitable for IHC-P and reacts with Human, Mouse, Rat samples.
Specifications
Shipped At Conditions Blue Ice
Appropriate Long term Storage Conditions Store at +4°C.
Clonality Monoclonal
Applications Flow Cyt, ICC/IF, IHC-P, IP, WB
Species Reactivity Human, Mouse, Rat
Isotype IgG