JavaScript is disabled in your browser. Please enable JavaScript to view this website.

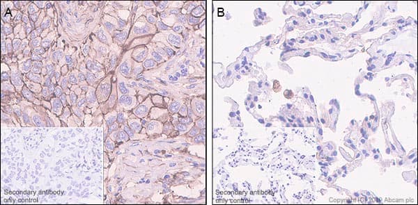
Anti-Orai3 antibody [EPR22575-17](ab254260)

$undefined

Anti-Orai3 antibody [EPR22575-17](ab254260)

Anti-Orai3 antibody [EPR22575-17](ab254260)

Anti-Orai3 antibody [EPR22575-17](ab254260)

Anti-Orai3 antibody [EPR22575-17](ab254260)

Anti-Orai3 antibody [EPR22575-17](ab254260)

Rabbit Recombinant Monoclonal ORAI3 antibody. Suitable for WB, IHC-P and reacts with Mouse, Human samples. Cited in 4 publications.
Specifications
Shipped At Conditions Blue Ice
Appropriate Long term Storage Conditions Store at -20°C.
Clonality Monoclonal
Applications Flow Cyt, ICC/IF, IHC-P, IP, WB
Species Reactivity Human, Mouse
Isotype IgG