JavaScript is disabled in your browser. Please enable JavaScript to view this website.

Anti-Kallikrein 7/KLK7 antibody [EPR22594-203](ab254258)

$undefined

Anti-Kallikrein 7/KLK7 antibody [EPR22594-203](ab254258)

Anti-Kallikrein 7/KLK7 antibody [EPR22594-203](ab254258)

Anti-Kallikrein 7/KLK7 antibody [EPR22594-203](ab254258)

Anti-Kallikrein 7/KLK7 antibody [EPR22594-203](ab254258)

Anti-Kallikrein 7/KLK7 antibody [EPR22594-203](ab254258)

Anti-Kallikrein 7/KLK7 antibody [EPR22594-203](ab254258)

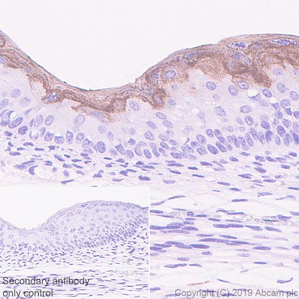
Rabbit Recombinant Monoclonal Kallikrein 7/KLK7 antibody. Suitable for WB, IHC-Fr, IHC-P and reacts with Mouse, Rat, Human samples.
Specifications
Shipped At Conditions Blue Ice
Appropriate Long term Storage Conditions Store at -20°C.
Clonality Monoclonal
Applications ICC/IF, IHC-Fr, IHC-P, IP, WB
Species Reactivity Human, Mouse, Rat
Isotype IgG