JavaScript is disabled in your browser. Please enable JavaScript to view this website.

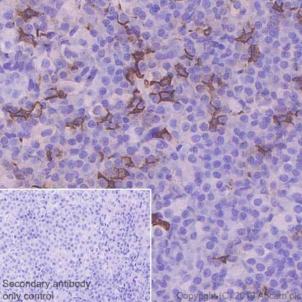
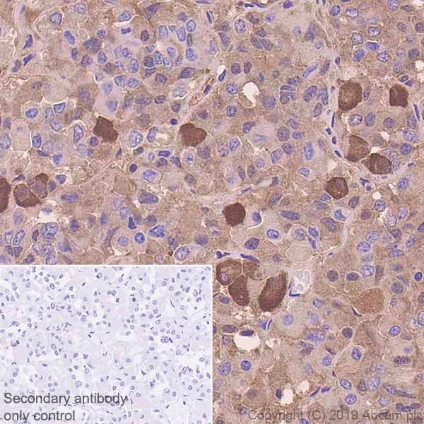
Anti-POMC antibody [EPR22534-165](ab254257)

$undefined

Anti-POMC antibody [EPR22534-165](ab254257)

Anti-POMC antibody [EPR22534-165](ab254257)

Anti-POMC antibody [EPR22534-165](ab254257)

Anti-POMC antibody [EPR22534-165](ab254257)

Anti-POMC antibody [EPR22534-165](ab254257)

Anti-POMC antibody [EPR22534-165](ab254257)

Anti-POMC antibody [EPR22534-165](ab254257)

Anti-POMC antibody [EPR22534-165](ab254257)

Anti-POMC antibody [EPR22534-165](ab254257)

Anti-POMC antibody [EPR22534-165](ab254257)

Rabbit Recombinant Monoclonal POMC antibody. Suitable for WB, ICC/IF, IHC-Fr, IHC-P and reacts with Mouse, Rat, Human samples. Cited in 3 publications.
Specifications
Shipped At Conditions Blue Ice
Appropriate Long term Storage Conditions Store at -20°C.
Clonality Monoclonal
Applications ICC/IF, IHC-Fr, IHC-P, IP, WB
Species Reactivity Human, Mouse, Rat
Isotype IgG