JavaScript is disabled in your browser. Please enable JavaScript to view this website.

Anti-Bmi1 antibody [EPR22604-160] - ChIP Grade(ab254253)

$undefined

Bmi1 Antibody Epr22604 160 Chip Grade Ab254253  Chic Cut Run Sequencing Img421210

Bmi1 Antibody Epr22604 160 Chip Grade Ab254253  Chip Img110321

Bmi1 Antibody Epr22604 160 Chip Grade Ab254253  Chip Sequencing Img400101

Bmi1 Antibody Epr22604 160 Chip Grade Ab254253  Chip Sequencing Img400102

Bmi1 Antibody Epr22604 160 Chip Grade Ab254253  Chip Sequencing Img400103

Bmi1 Antibody Epr22604 160 Chip Grade Ab254253  Chip Sequencing Img400104

Bmi1 Antibody Epr22604 160 Chip Grade Ab254253  Flow Cytometry Intracellular Img13633

Bmi1 Antibody Epr22604 160 Chip Grade Ab254253  Flow Cytometry Intracellular Img38573

Bmi1 Antibody Epr22604 160 Chip Grade Ab254253  Flow Cytometry Intracellular Img414433

Bmi1 Antibody Epr22604 160 Chip Grade Ab254253  Flow Cytometry Intracellular Img415867

Bmi1 Antibody Epr22604 160 Chip Grade Ab254253  Immunocytochemistry Immunofluorescence Img129029

Bmi1 Antibody Epr22604 160 Chip Grade Ab254253  Immunocytochemistry Immunofluorescence Img71811

Bmi1 Antibody Epr22604 160 Chip Grade Ab254253  Immunohistochemistry Formalin Pfa Fixed Paraffin Embedded Sections Img32594

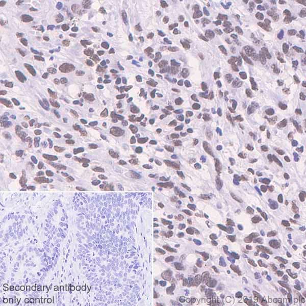
Bmi1 Antibody Epr22604 160 Chip Grade Ab254253  Immunohistochemistry Formalin Pfa Fixed Paraffin Embedded Sections Img78647

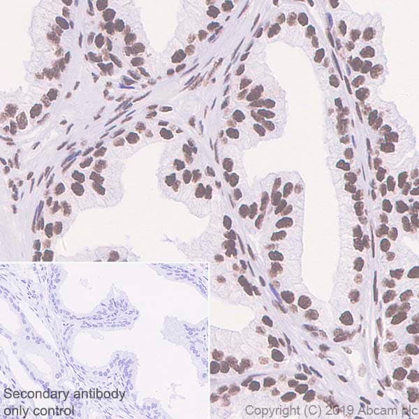
Bmi1 Antibody Epr22604 160 Chip Grade Ab254253  Immunohistochemistry Formalin Pfa Fixed Paraffin Embedded Sections Img82463

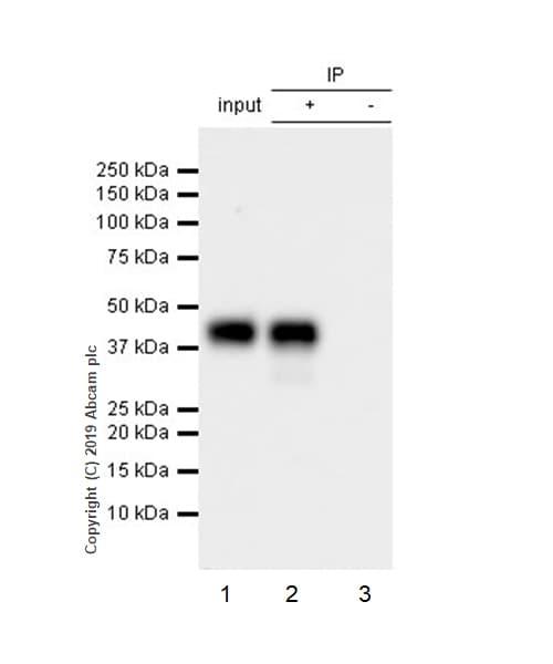
Bmi1 Antibody Epr22604 160 Chip Grade Ab254253  Immunoprecipitation Img3694

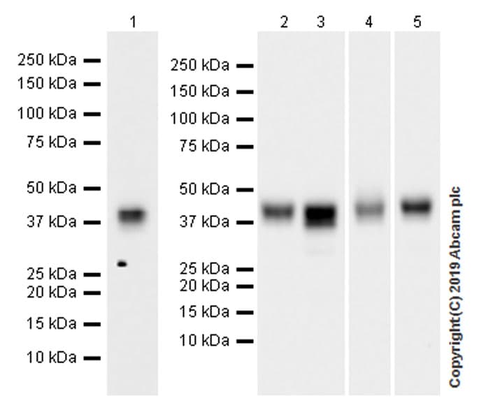
Bmi1 Antibody Epr22604 160 Chip Grade Ab254253  Western Blot Img29586

Rabbit Recombinant Monoclonal BMI1 antibody. Suitable for ChIC/CUTandRUN-seq, IP, ChIP-seq, ChIP, WB, ICC/IF, Flow Cyt (Intra), IHC-P and reacts with Human, Mouse samples. Cited in 2 publications.
Specifications
Shipped At Conditions Blue Ice
Appropriate Long term Storage Conditions Store at -20°C.
Clonality Monoclonal
Applications ChIC/CUT&RUN-seq, ChIP, ChIP-seq, Flow Cyt (Intra), ICC/IF, IHC-P, IP, WB
Species Reactivity Human, Mouse
Isotype IgG