JavaScript is disabled in your browser. Please enable JavaScript to view this website.

Anti-CD103 antibody [EPR22590-27] - BSA and Azide free(ab254201)

$undefined

Anti-CD103 antibody [EPR22590-27] - BSA and Azide free(ab254201)

Anti-CD103 antibody [EPR22590-27] - BSA and Azide free(ab254201)

Anti-CD103 antibody [EPR22590-27] - BSA and Azide free(ab254201)

Anti-CD103 antibody [EPR22590-27] - BSA and Azide free(ab254201)

Anti-CD103 antibody [EPR22590-27] - BSA and Azide free(ab254201)

Anti-CD103 antibody [EPR22590-27] - BSA and Azide free(ab254201)

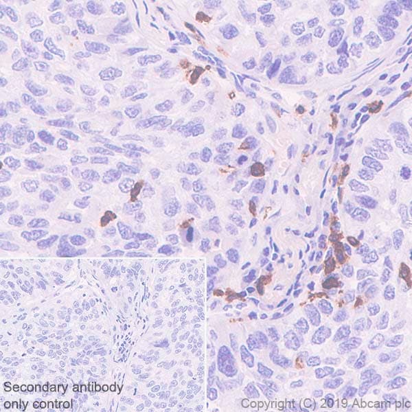
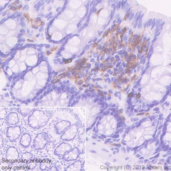
Rabbit Recombinant Monoclonal CD103 antibody. Carrier free. Suitable for WB, IHC-Fr, IHC-P and reacts with Mouse, Rat, Human samples. Cited in 1 publication.
Specifications
Shipped At Conditions Blue Ice
Appropriate Long term Storage Conditions Store at +4°C.
Clonality Monoclonal
Applications Flow Cyt, IHC-Fr, IHC-P, IP, WB
Species Reactivity Human, Mouse, Rat
Isotype IgG