JavaScript is disabled in your browser. Please enable JavaScript to view this website.

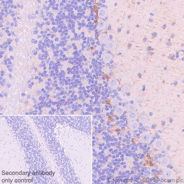
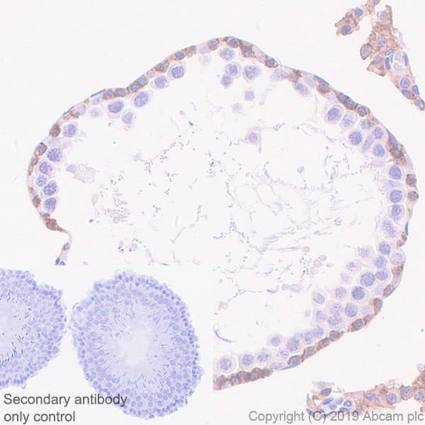
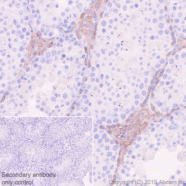
Anti-c-Kit antibody [EPR22566-205] - BSA and Azide free(ab254200)

$undefined

Anti-c-Kit antibody [EPR22566-205] - BSA and Azide free(ab254200)

Anti-c-Kit antibody [EPR22566-205] - BSA and Azide free(ab254200)

Anti-c-Kit antibody [EPR22566-205] - BSA and Azide free(ab254200)

Rabbit Recombinant Monoclonal c-Kit antibody. Carrier free. Suitable for IHC-P and reacts with Mouse, Rat samples.
Specifications
Shipped At Conditions Blue Ice
Appropriate Long term Storage Conditions Store at +4°C.
Clonality Monoclonal
Applications Flow Cyt, IHC-Fr, IHC-P, IP, WB
Species Reactivity Mouse, Rat
Isotype IgG