JavaScript is disabled in your browser. Please enable JavaScript to view this website.

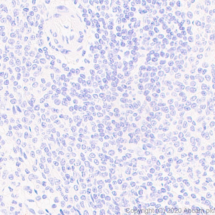
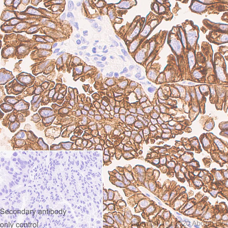
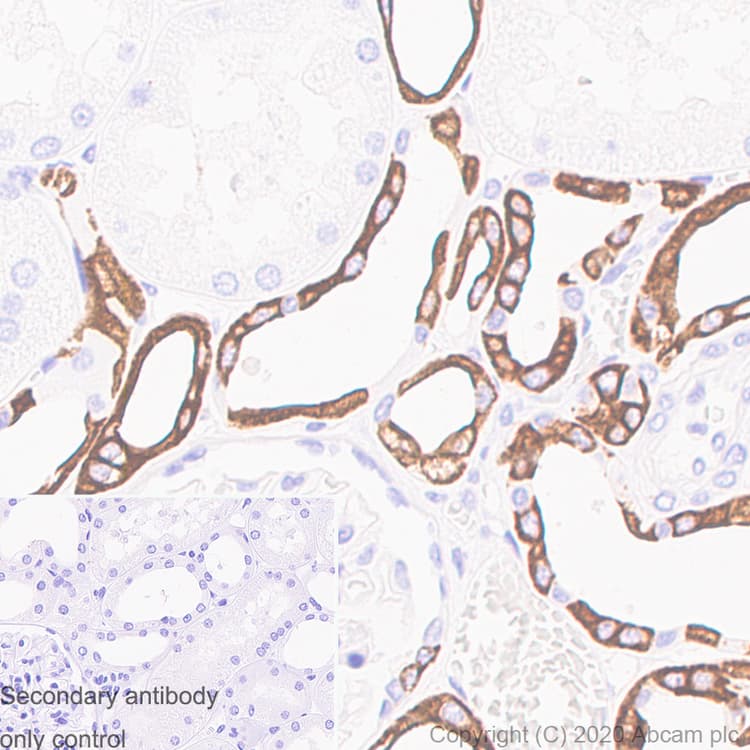
Anti-Cytokeratin 19 antibody [LP2K](ab254186)

$undefined

Anti-Cytokeratin 19 antibody [LP2K](ab254186)

Anti-Cytokeratin 19 antibody [LP2K](ab254186)

Anti-Cytokeratin 19 antibody [LP2K](ab254186)

Anti-Cytokeratin 19 antibody [LP2K](ab254186)

Anti-Cytokeratin 19 antibody [LP2K](ab254186)

Anti-Cytokeratin 19 antibody [LP2K](ab254186)

Anti-Cytokeratin 19 antibody [LP2K](ab254186)

Mouse Recombinant Monoclonal Cytokeratin 19 antibody. Suitable for IHC-P, ICC/IF, Flow Cyt, WB and reacts with Human samples. Cited in 5 publications.
Specifications
Shipped At Conditions Blue Ice
Appropriate Long term Storage Conditions Store at -20°C.
Clonality Monoclonal
Applications Flow Cyt, ICC/IF, IHC-P, WB
Species Reactivity Human, Mouse, Rat
Isotype IgG2b