JavaScript is disabled in your browser. Please enable JavaScript to view this website.

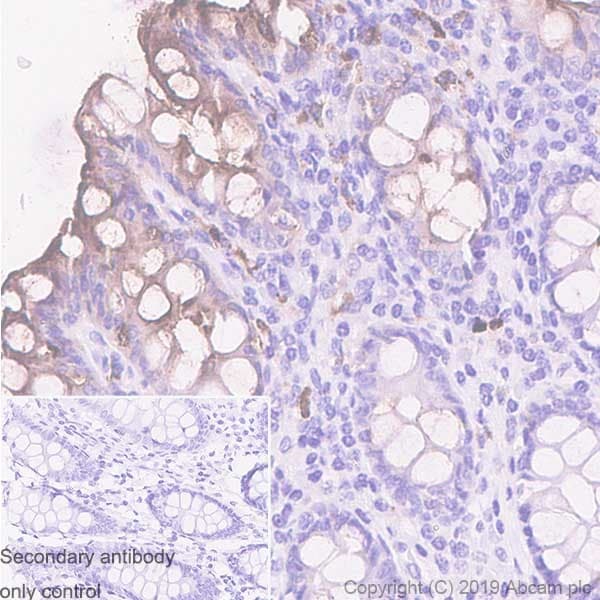
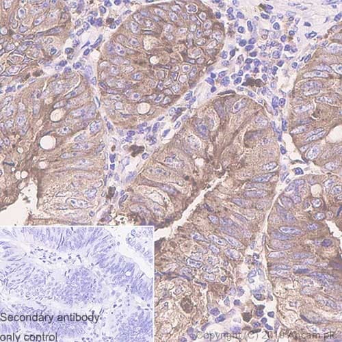
Anti-CEACAM6 antibody [1H7-4B](ab254157)

$undefined

Anti-CEACAM6 antibody [1H7-4B](ab254157)

Anti-CEACAM6 antibody [1H7-4B](ab254157)

Anti-CEACAM6 antibody [1H7-4B](ab254157)

Mouse Recombinant Monoclonal CEAM6 antibody. Suitable for WB, IHC-P and reacts with Human samples.
Specifications
Shipped At Conditions Blue Ice
Appropriate Long term Storage Conditions Store at -20°C.
Clonality Monoclonal
Applications Flow Cyt, ICC/IF, IHC-P, WB
Species Reactivity Human
Isotype IgG1