JavaScript is disabled in your browser. Please enable JavaScript to view this website.

Anti-GlnRS antibody(ab252974)

$undefined

Anti-GlnRS antibody(ab252974)

Anti-GlnRS antibody(ab252974)

Anti-GlnRS antibody(ab252974)

Anti-GlnRS antibody(ab252974)

Anti-GlnRS antibody(ab252974)

Anti-GlnRS antibody(ab252974)

Anti-GlnRS antibody(ab252974)

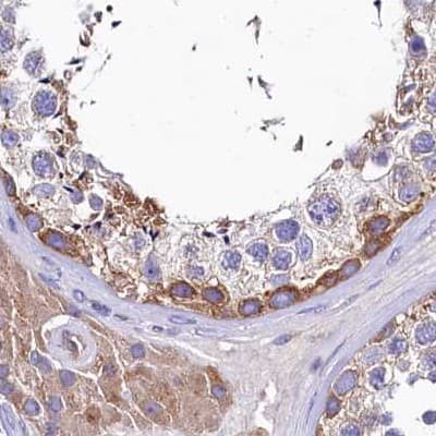
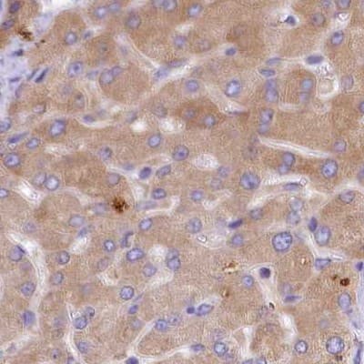
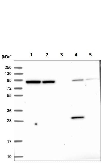
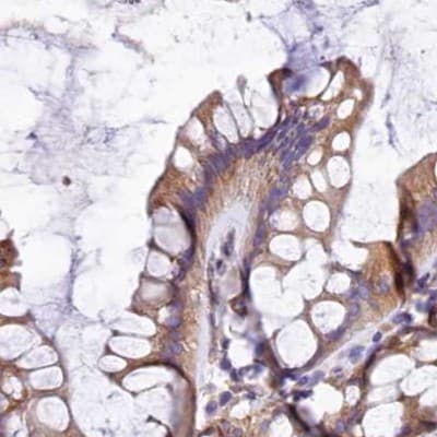
Rabbit Polyclonal GlnRS antibody. Suitable for IHC-P, WB, ICC/IF and reacts with Human, Mouse, Rat samples. Immunogen corresponding to Recombinant Fragment Protein within Human QARS1 aa 600-750.
Specifications
Shipped At Conditions Blue Ice
Appropriate Long term Storage Conditions Store at -20°C.
Clonality Polyclonal
Applications ICC/IF, IHC-P, WB
Species Reactivity Human, Mouse, Rat
Isotype IgG