JavaScript is disabled in your browser. Please enable JavaScript to view this website.

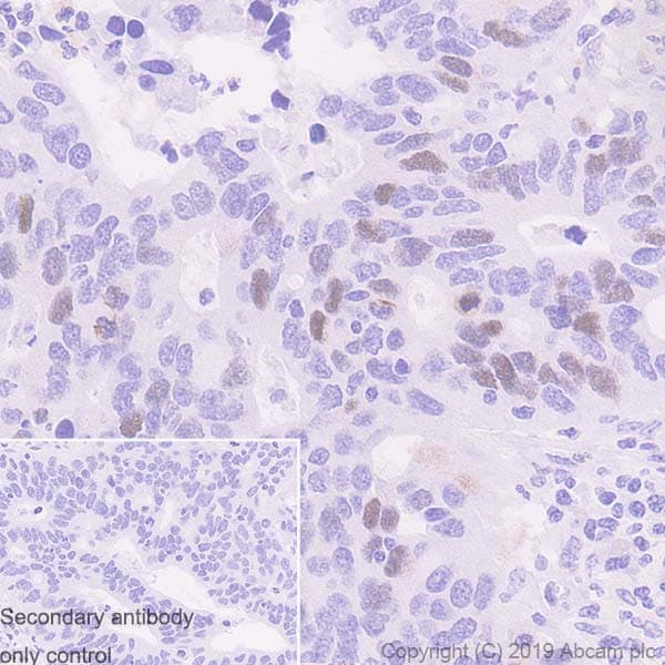
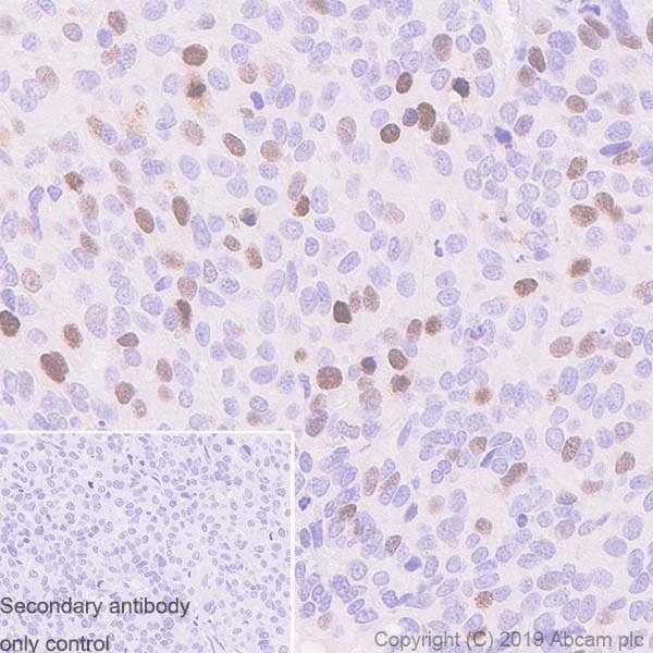
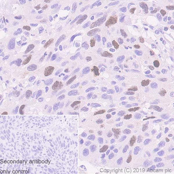
Anti-TPX2 antibody [EPR23180-4](ab252945)

$undefined

Anti-TPX2 antibody [EPR23180-4](ab252945)

Anti-TPX2 antibody [EPR23180-4](ab252945)

Anti-TPX2 antibody [EPR23180-4](ab252945)

Anti-TPX2 antibody [EPR23180-4](ab252945)

Anti-TPX2 antibody [EPR23180-4](ab252945)

Anti-TPX2 antibody [EPR23180-4](ab252945)

Anti-TPX2 antibody [EPR23180-4](ab252945)

Anti-TPX2 antibody [EPR23180-4](ab252945)

Anti-TPX2 antibody [EPR23180-4](ab252945)

Rabbit Recombinant Monoclonal TPX2 antibody. Suitable for IP, WB, ICC/IF, Flow Cyt (Intra), IHC-P and reacts with Human samples. Cited in 1 publication.
Specifications
Shipped At Conditions Blue Ice
Appropriate Long term Storage Conditions Store at -20°C.
Clonality Monoclonal
Applications Flow Cyt (Intra), ICC/IF, IHC-P, IP, WB
Species Reactivity Human, Mouse, Rat
Isotype IgG