JavaScript is disabled in your browser. Please enable JavaScript to view this website.

Anti-TPX2 antibody [EPR23182-47](ab252944)

$undefined

Anti-TPX2 antibody [EPR23182-47](ab252944)

Anti-TPX2 antibody [EPR23182-47](ab252944)

Anti-TPX2 antibody [EPR23182-47](ab252944)

Anti-TPX2 antibody [EPR23182-47](ab252944)

Anti-TPX2 antibody [EPR23182-47](ab252944)

Anti-TPX2 antibody [EPR23182-47](ab252944)

Anti-TPX2 antibody [EPR23182-47](ab252944)

Anti-TPX2 antibody [EPR23182-47](ab252944)

Anti-TPX2 antibody [EPR23182-47](ab252944)

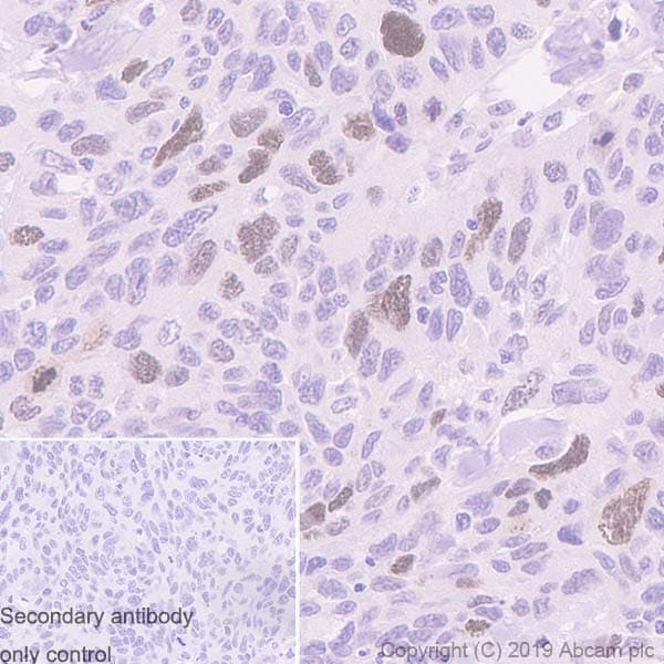
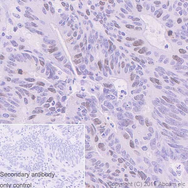
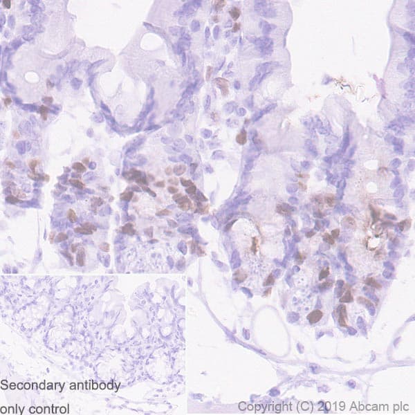
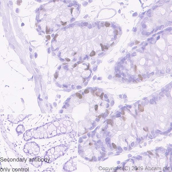
Rabbit Recombinant Monoclonal TPX2 antibody. Suitable for WB, ICC/IF, Flow Cyt (Intra), IHC-P and reacts with Mouse, Rat, Human samples. Cited in 3 publications.
Specifications
Shipped At Conditions Blue Ice
Appropriate Long term Storage Conditions Store at -20°C.
Clonality Monoclonal
Applications Flow Cyt (Intra), ICC/IF, IHC-P, IP, WB
Species Reactivity Human, Mouse, Rat
Isotype IgG