JavaScript is disabled in your browser. Please enable JavaScript to view this website.

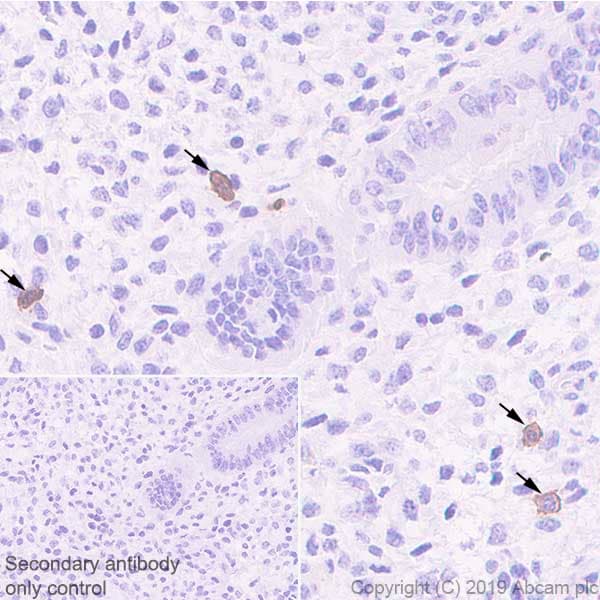
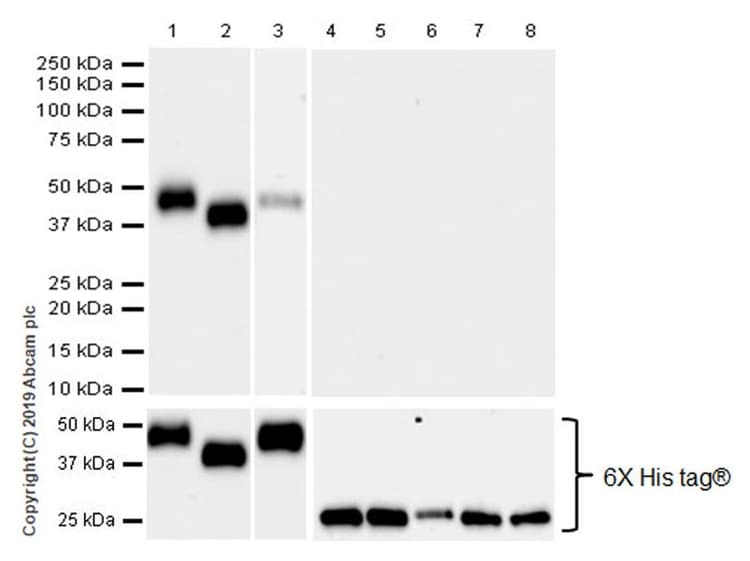
Anti-KIR2DL1 + KIR2DL2 antibody [EPR22492-92](ab252936)

$undefined

Anti-KIR2DL1 + KIR2DL2 antibody [EPR22492-92](ab252936)

Anti-KIR2DL1 + KIR2DL2 antibody [EPR22492-92](ab252936)

Anti-KIR2DL1 + KIR2DL2 antibody [EPR22492-92](ab252936)

Rabbit Recombinant Monoclonal KIR2DL1 antibody. Suitable for Flow Cyt, WB, IHC-P and reacts with Human, Recombinant fragment - Human samples.
Specifications
Shipped At Conditions Blue Ice
Appropriate Long term Storage Conditions Store at -20°C.
Clonality Monoclonal
Applications Flow Cyt, IHC-P, WB
Species Reactivity Human
Isotype IgG